症例紹介

トップページ > 症例紹介 > 前歯部不正(交叉咬合など)

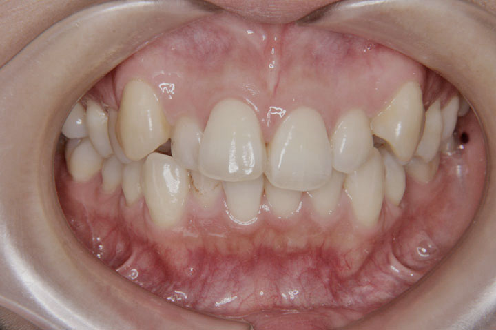
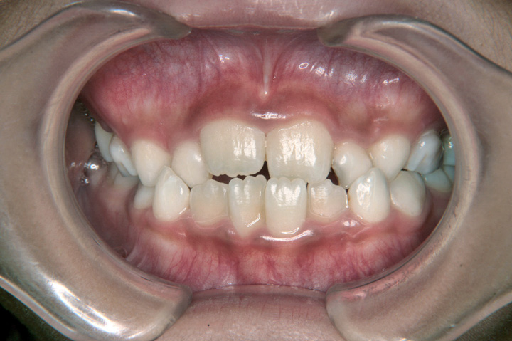
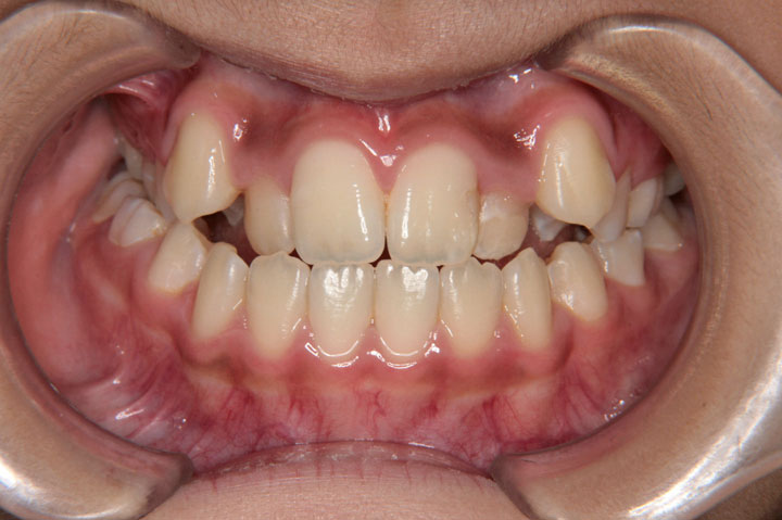
前歯部不正(交叉咬合など)

前歯の交叉咬合は、上顎の前歯の一部が、下顎の前歯のよりも内側に入っている状態です。かみ合わせが逆転することで、種々の不利益を引き起こします。通常は、叢生と複合することが多い不正咬合です。お子様の場合、低学年(7~9歳)であっても、交叉咬合と判断される場合は、受診をお勧めいたします。 その時期であれば、比較的良好な治療結果となることが多いと思います。成人の方の治療も可能ですが、負担のかかった歯肉などは、回復できない場合もあります。

症例(40)

【混合歯列 非抜歯】
【混合歯列 抜歯】
【永久歯列 非抜歯】
【永久歯列 抜歯】

症例紹介トップに戻る

副作用・リスクの項目

歯列矯正を始めるに当たって、以下のリスクと副作用があることを説明し、患者さんには十分ご理解頂いた上で治療を行いました。

①後戻り
歯並びを治しても、後戻りが生じる場合があります。
②失活
歯は生きていますが、何らかの原因によって歯が死ぬことがあり、黒く変色してしまいます。
③虫歯・歯周病
虫歯・歯周病ともに細菌による感染症です。矯正装置のせいで、これらに罹患しやすくなります。
④歯の根が短くなることがある(歯根吸収)
歯の根が短くなることがあります。
⑤ブラックトライアングル
歯と歯の間の歯肉が下がり、歯間が黒い三角形に見えることがあります。
⑥歯肉退縮
歯の移動とともに歯を支えている骨が壊れてしまうことがあります。そのせいで、表面を覆っている歯肉が下がって歯根の一部が露出したり、歯肉が裂けたように見えたりします。
⑦顎関節症
矯正治療中、「アゴが鳴る」、「アゴが痛い」、「口が開きにくい」といった症状(顎関節症の3大症状)が出てしまう場合があります。
⑧過成長
成長期の受け口の患者さんの場合、下顎の成長を抑えられないことがあります。
⑨金属アレルギー
矯正装置には様々な金属が使用されています。体質によっては、金属アレルギーを起こす場合があります。

別ページにある【矯正歯科治療に伴う一般的なリスクや副作用について】もご覧ください。

お問合せ・ご予約はお気軽に072-237-3739
初診予約はこちら