〒599-8122 大阪府堺市東区丈六174-6
ID:357
前歯部不正(交叉咬合など)
叢生(乱ぐい歯)

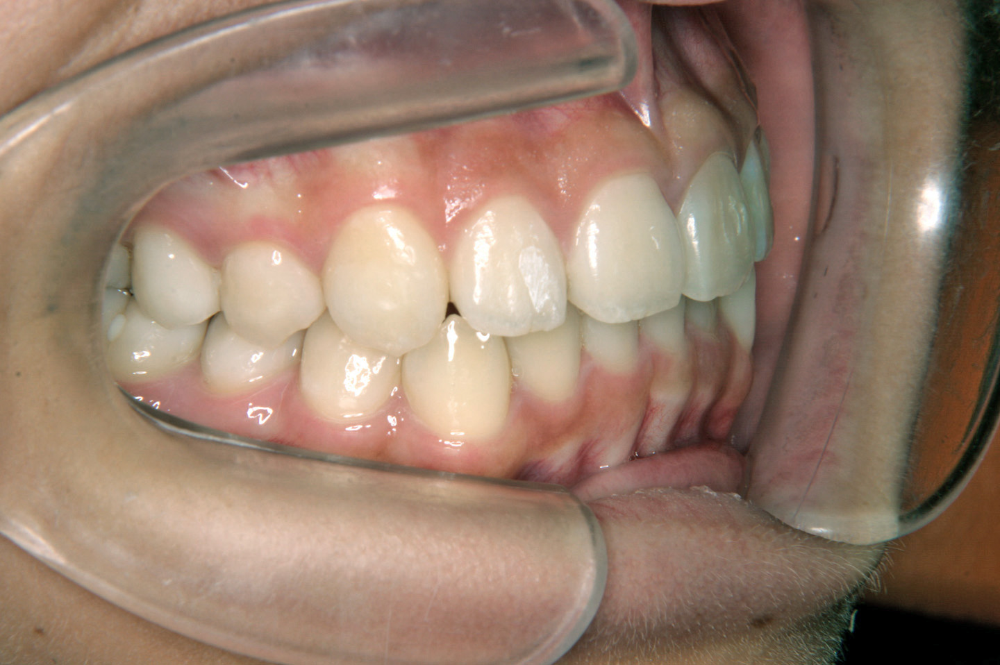
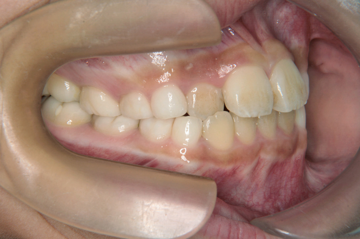
上の前から2番目の歯が内側から生えてきたことを気にされて来院されました9歳の女子です。前期治療としてリンガルアーチを用いて前歯の早期接触を改善し、その後、非抜歯での配列を目標としヘッドギアーで上顎大臼歯の後方への拡大を行いました。エッジワイズ装置(デーモンシステム)で後期治療を行っておりますが、非抜歯で、良好な結果を得ることができました。
歯列矯正を始めるに当たって、後戻り・失活・虫歯(歯周病)・歯根吸収・ブラックトライアングル・歯肉退縮・顎関節症などのリスクがあることを説明し、患者さんには十分ご理解頂いた上で治療を行いました(以下もご覧ください)。また、別ページにある【矯正歯科治療に伴う一般的なリスクや副作用について】もご覧ください。
3年9ヵ月
36回
基本料金:460,000円 調節料:5,000円/回
記載している治療費用は、治療当時の価格(税抜価格表示)となります。
現在の費用は治療費のご案内でご確認くださいませ。
歯列矯正を始めるに当たって、以下のリスクと副作用があることを説明し、患者さんには十分ご理解頂いた上で治療を行いました。