〒599-8122 大阪府堺市東区丈六174-6
ID:82
前歯部不正(交叉咬合など)
叢生(乱ぐい歯)
上下顎前突(口元の突出)

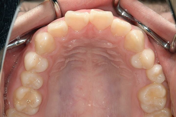
前歯の咬み合わせを主訴に来院された小学校2年生の患者さんです。下顎前歯の歯肉に退縮があり、リンガルアーチで上顎前歯の被蓋改善を行いました。また、永久歯交換後に「口元の突出」も気になるとのことで、上下顎小臼歯の抜歯を行い、エッジワイズ装置で配列を行いました。前期治療約1年、その後、経過観察を経て、後期治療2年6ヶ月で治療いたしております。
歯列矯正を始めるに当たって、後戻り・失活・虫歯(歯周病)・歯根吸収・ブラックトライアングル・歯肉退縮・顎関節症などのリスクがあることを説明し、患者さんには十分ご理解頂いた上で治療を行いました(以下もご覧ください)。また、別ページにある【矯正歯科治療に伴う一般的なリスクや副作用について】もご覧ください。
8年6ヵ月
68回
基本料金:440,000円 調節料:5,000円/回
記載している治療費用は、治療当時の価格(税抜価格表示)となります。
現在の費用は治療費のご案内でご確認くださいませ。
歯列矯正を始めるに当たって、以下のリスクと副作用があることを説明し、患者さんには十分ご理解頂いた上で治療を行いました。