〒599-8122 大阪府堺市東区丈六174-6
ID:133
前歯部不正(交叉咬合など)
叢生(乱ぐい歯)
上顎前突(出っ歯)

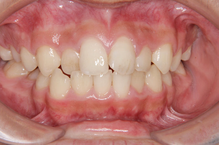
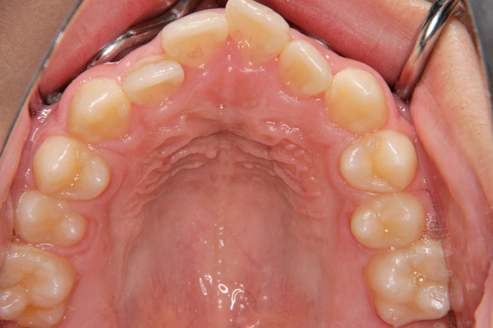
出っ歯と歯のデコボコを主訴に来院された小学校3年生の男子です。上顎前突の程度は軽度でしたが、将来は、強い歯のデコボコが予想される状態でした。前期治療としてヘッドギアーによる上顎大臼歯の遠心移動と上顎クォードヘリックス、下顎バイヘリックスによる拡大を行い、後期治療(デーモンシステム)に移行しております。
歯列矯正を始めるに当たって、後戻り・失活・虫歯(歯周病)・歯根吸収・ブラックトライアングル・歯肉退縮・顎関節症などのリスクがあることを説明し、患者さんには十分ご理解頂いた上で治療を行いました(以下もご覧ください)。また、別ページにある【矯正歯科治療に伴う一般的なリスクや副作用について】もご覧ください。
7年4ヵ月
56回
基本料金:560,000円 調節料:5,000円/回
記載している治療費用は、治療当時の価格(税抜価格表示)となります。
現在の費用は治療費のご案内でご確認くださいませ。
歯列矯正を始めるに当たって、以下のリスクと副作用があることを説明し、患者さんには十分ご理解頂いた上で治療を行いました。