〒599-8122 大阪府堺市東区丈六174-6
ID:238
前歯部不正(交叉咬合など)
叢生(乱ぐい歯)
口唇口蓋裂
欠損歯

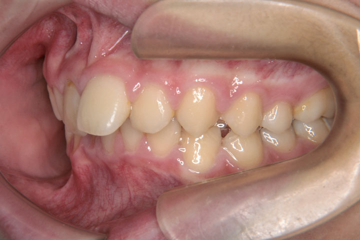
先天性口唇口蓋裂患児で小学校2年生の男子です。前歯部交叉咬合を認め、下顎前歯の歯肉が退縮しダメージの大きい状態でした。そのためリンガルアーチによる前歯部被蓋改善より開始し、その後拡大処置に行っております。上顎右側側切歯が欠損でしたが、ご父兄と相談の結果、反体側の抜歯による無理な正中線の補正はおこなわずエッジワイズ治療に移行しております。またダメージの大きかった下顎前歯の歯肉は回復することができ、良い治療結果であったと思っております。
歯列矯正を始めるに当たって、後戻り・失活・虫歯(歯周病)・歯根吸収・ブラックトライアングル・歯肉退縮・顎関節症などのリスクがあることを説明し、患者さんには十分ご理解頂いた上で治療を行いました(以下もご覧ください)。また、別ページにある【矯正歯科治療に伴う一般的なリスクや副作用について】もご覧ください。
9年2ヵ月
58回
保険適用
記載している治療費用は、治療当時の価格(税抜価格表示)となります。
現在の費用は治療費のご案内でご確認くださいませ。
歯列矯正を始めるに当たって、以下のリスクと副作用があることを説明し、患者さんには十分ご理解頂いた上で治療を行いました。