〒599-8122 大阪府堺市東区丈六174-6
文責:布袋善久,布袋裕美
上顎骨は、頭蓋骨(とうがいこつ)の中では下顎に先立って、小学校の2年生から5年生頃に前下方に成長します。そのため、「少し出歯気ぎみかな」というお子さんは、小学校3~4年生頃の上顎骨成長期に、前突感が強くなってきます。治療開始は、それを確認してからと思うと、どうしても様子を見て治療開始が遅くなってしまいます。
それを考えますと、上顎の前突の治療として、その成長期に上顎の成長を抑制することから開始するのが、望ましいと思います。小学校高学年で、上顎の前方成長が終了してからでは、非抜歯での治療が難しくなっている場合が多くなります。
出っ歯を気にして来院された10歳の男子です。上顎前突症例として矯正治療を開始いたしました。上顎成長抑制のため上顎にヘッドギアーと咬合挙上床を装着し前期治療を行い非抜歯でエッジワイズ治療へ移行いたしました。前期治療に2年、後期治療に2年6カ月を要し治療費は前後期で84万円(税抜)となりました。上顎の前突感かの強いケースでしたが、適切な時期から開始することで、非抜歯で矯正治療を行うことが出来ました。
尚、治療開始に際し矯正治療には虫歯、歯周病、歯の変色、歯肉退縮、歯根吸収、顎関節症、後戻りなどのリスクをご説明しました。
初診時

治療途中

動的治療終了時

受け口ですが、機能性反対咬合(たまたは、前歯の生える角度が悪く受け口になってしまった)と骨格生反対咬合(生まれつき、下あごの骨が大きく、骨格のアンバランスから受け口になってしまった)の二つに分類されます。機能性反対咬合であれば、乳歯列期に反対咬合であっても上下顎の前歯が生え替わる時期に3~1割程度(この数値には諸説あります)の方は自然に治ります。そのため、機能性の反対咬合のお子さんの治療開始は、それほど急ぐことはなく、前述の前歯の生え替わりを待ってからがよいと思います。ただ、骨格生反対咬合であっても、乳歯列の幼稚園児に、矯正装置を装着いただくことは難しいことが多く、結局は、小学校入学後の治療開始になることが多いと思います。
※乳歯列期の反対咬合ですが、上記の様に数割の子供さんは、自然に解消される場合はあります。反対にいえば、7~9割の子供さんは、自然には治らないということです。そのような場合に、乳歯列期での反対咬合の治療も行う場合があります。4~5歳位で、夜間にお口の装置を使っていただけるお子さんなら、治療可能だと思います。ただし、そのような時期に治療を開始するかどうかは、矯正歯科主治医とご相談ください。(詳しくは「乳歯列期の矯正治療」の項目を参照)
もう一つ、留意すべき点は、下顎骨は、長官骨(手や足の長い骨)と同じ仕組みで成長いたします。そのため、前述の上顎骨とは異なり、成長期の間は、全身成長と同じように、下顎骨の成長が続きます。
そう考えますと、「受け口」の場合、「様子を見ましょう」では、全身成長に伴って受け口が酷くなることを理解する必要があります。
結局、
の3点が重要となります。「受け口の治療開始は、小学校入学後で、上下顎の前歯が交換して、なるべく早い時期」の治療開始が望ましいとなります。
ただ、「全身成長と共に下顎骨は成長する」ということから、いったん治っていた受け口が、第二次成長期の全身発育に伴って再発する場合があります。そのような場合は、どうしても永久歯の抜歯や外科手術を伴う矯正治療に移行せざるをえないケースが出てきます。実際、当院で、受け口の矯正治療を開始する年間70人ほどの患者さんの中で、5%程度の方が、受け口を再発し、再治療が必要となります。また、1~2%程度の方は、外科手術をともなう矯正治療が必要となります。これも、言い換えれば、98%の方は、通常の矯正治療で治療可能と言うことになります。
受け口を気にして来院された7歳の男子です。前歯部反対咬合症例として矯正治療を開始いたしました。上顎にリンガルアーチ、顎外にチンキャップを装着し前歯の咬み合わせを改善した後、成長終了を待って非抜歯で後期エッジワイズ治療に移行いたしました。後期治療に2年8カ月を要し治療費は前後期で90万円(税抜)となりました。このケースは早期に前歯のかみ合わせを改善できたため、良い治療結果となりました。
尚、治療開始に際し矯正治療には虫歯、歯周病、歯の変色、歯肉退縮、歯根吸収、顎関節症、後戻りなどのリスクをご説明しました。
初診時

治療途中

動的治療終了時

側方の交叉咬合は、反対咬合を伴うことが多く、左右どちらか(あるいは両側)で、奥歯でかみ合わせが反対となっているかみ合わせです。この不正咬合を放置すると、下顎前突と同様に全身成長期に下顎が横方向に歪んで成長するなど顔面の非対称を生じさせる可能性があります。そのため、第二次成長期までにお治療を終えておくことが重要です。様子を見たからといって、自然に治りえないため、小学校低学年であっても、治療の開始が望ましい不正咬合です。
また、反対咬合と合併しているケースも多く、その治療も必要となる場合があります。
⑭ 咬み合わせのズレを気にして来院された11歳の女子です。下顎の左側偏位を伴う臼歯部交叉咬合と診断し矯正治療を開始いたしました。上顎をクォードヘリックスで側方拡大を行い左側臼歯部での咬み合わせを改善した後に、非抜歯でエッジワイズ治療へ移行しております。前期治療1年6カ月、後期治療に2年6カ月を要し、治療費は前後期で81万円となりました。
尚、治療開始に際し矯正治療には虫歯、歯周病、歯の変色、歯肉退縮、歯根吸収、顎関節症、後戻りなどのリスクをご説明しました。
初診時

治療途中

動的治療終了時

開咬の原因ですが、授乳期からの癖が抜けずに行う「指吸い」、嚥下時に舌が前に飛び出る「舌癖」をあげることができます。そのため、最初は、上下顎の前歯が前方に傾斜(歯性開咬)して起こりますが、10歳頃を境に、その歯性の開咬が骨格性開咬に移行し、治療が困難になると言われております。また、矯正治療の中では、開咬の治療は舌の癖を直すなど、比較的期間を要する治療となります。その開始時期ですが、10歳までに治しておきたいことと、治療期間に1~2年かかることを逆算しますと、小学校2~3年生(8~9歳頃)の開始が望ましいと思います。
ただし、開咬の治療の場合も、舌癖が十分に、後戻りの可能性があり、治療の一環としておこなう舌のトレーニングも非常に重要になります。(詳しくは「舌のトレーニング」の項目を参照)
前歯で咬めないことを気にして来院された10歳の女子です。前歯部開咬と舌癖を伴う不正咬合と診断し矯正治療を開始いたしました。下顎に舌癖防止のためタングクリブ
を装着しあわせて舌のトレーニング行いました。前歯の咬み合わせを改善した後、上顎は拡大床での拡大を行い非抜歯でエッジワイズ治療へ移行いたしました。前期治療に2年、後期治療に2年6カ月を要し、治療費は前後期で81万円(税抜)となりました。初診時

治療途中

動的治療終了時

前述の叢生と合併して認められることの多く、上下顎の前歯の位置が一部で逆転する不正咬合です。
その逆転したかみ合わせによって、下顎歯肉退宿や上下顎の歯の破折、咬耗などを引き起こします。また、そのようなかみ合わせの場合、あご関節に負担を生じていることもあり、そのまま放置できない不正咬合です。ただ、そのような状態が気にならないようなら、永久歯に交換後に矯正治療も可能である場合もあります(ただし、その場合、永久歯を抜歯しての治療になる可能性もあります)。そのため、将来的に、不正咬合を治したいとお考えの方には、悪い部分から治しておくという点から治療開始をおすすめいたします。しかし、矯正治療自体を迷われている方は、永久歯になって治療も可能なことから、その頃に治療を考えられても結構です。
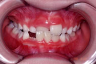
前歯の咬み合わせが悪いことを気にして来院された8歳の男子です。前歯部交叉咬合症例としてリンガルアーチによる被蓋改善より開始しいたしました。永久歯への交換を待って非抜歯で後期エッジワイズ治療へ移行しております。前期治療に3年、後期治療に2年6カ月を要し、治療費は前後期で88万円(税抜)となりました。このケースのような前歯の不正咬合を中長期にわたって、 放置することは、適切ではないと考えております。 尚、治療開始に際し矯正治療には虫歯、歯周病、歯の変色、歯肉退縮、歯根吸収、顎関節症、後戻りなどのリスクをご説明しました。
初診時

治療途中

動的治療終了時

叢生(歯のデコボコ)がある、あるいは歯の生える空隙が不足し叢生が予想される場合。これも、歯のデコボコ具合によって開始時期が異なります。歯のデコボコが中程度(片顎で、空隙の不足量が5~10mm程度)の場合は、側方への拡大だけでなく、第一大臼歯の遠心(後ろへの)移動が必要なケースが多く、第二大臼歯萌出期(通常、12歳頃)までに、拡大処置を完了することが必要です。そのためには、小学校3~4年生(9~10歳頃)の開始が望ましくなります。
八重歯を気にして来院された11歳の女子です。上顎叢生を伴う過蓋咬合と診断し矯正治療を開始いたしました。上顎にGMDを装着しヘッドギアーも併用し大臼歯の遠心移動を行って歯のスペースを獲得した後、非抜歯で後期エッジワイズ治療へ移行いたしました。前期治療に1年2カ月、後期治療に2年5カ月を要し治療費は前後期で82万円(税抜)となりました。第二大臼歯萌出前の適切な時期から開始することで、非抜歯で矯正治療を行うことが出来ました。
尚、治療開始に際し矯正治療には虫歯、歯周病、歯の変色、歯肉退縮、歯根吸収、顎関節症、後戻りなどのリスクをご説明しました。
初診時

治療途中

動的治療終了時

前述の叢生(歯のデコボコ)がすが、軽度なデコボコ(片顎で、空隙の不足量が5mm程度)であれば、治療開始はそれほど急ぐ必要はなく、第二大臼歯萌出後の開始で間に合うことが多いでしょうか。具体的には12~13歳頃の治療開始となります。
歯のデコボコを主訴に来院された13歳の女子です。上下顎叢生症例として矯正治療を開始いたしました。治療法は上顎拡大用のクォードヘリックスとエッジワイズ装置を同時期に用いて非抜歯で動的治療を終了いたしました。通期治療として2年8カ月を要し治療費は76万円(税抜)となりました。
尚、治療開始に際し矯正治療には虫歯、歯周病、歯の変色、歯肉退縮、歯根吸収、顎関節症、後戻りなどのリスクをご説明しました。
初診時

動的治療終了時

また、歯のデコボコが重度で非抜歯での治療は不可能と判断した場合も、永久歯交換後の治療開始で良いと思います。
歯のデコボコが重度(片顎の空隙の不足量が10mmを超える)な場合、拡大量が過大になり、お子さんが痛みを感じるなど、十分に拡大できない場合が出てきます。そのため、重度の場合は、早く始めたからといって、非抜歯でとは言い切れない場合があります。
そのように重度な場合で、骨格性不正咬合と合併しない場合は、永久歯交換後に抜歯ケースとして矯正治療を受けていただく選択肢もあろうかと思います。
八重歯を主訴に来院された14歳の女子です。上下顎叢生症例ですが、デコボコの程度が重度であるため上下顎第一小臼歯抜歯ケースとしてエッジワイズ治療を行いました。通期治療として3年を要し治療費は78万円(税抜)となりました。このように重度な叢生の場合は、混合歯列期に治療を開始しても、非抜歯での治療は難しいであろうと思います。
尚、治療開始に際し矯正治療には虫歯、歯周病、歯の変色、歯肉退縮、歯根吸収、顎関節症、後戻りなどのリスクをご説明しました。
初診時

動的治療終了時
