〒599-8122 大阪府堺市東区丈六174-6
初めて、矯正治療を受ける「あなた」は、きっと不安で一杯だと思います。
例え話になりますが、登山でも進むべき道のりがわかっていれば、少しでも足取りは軽くなります。山頂の見えない登山は足取りも自然と重くなります。
私の小学校の冬山登山は金剛山でした。登り終わった後には、その道のりは短いように思えたものです。
矯正治療も、その道のりを知っていただければ、ゴールまでのあいだ、少しでも安心して治療を受けていただけると思います。
もちろん、途中で「雨」や「雪」が降ることもあるかもしれませんが、必ず、私たちが一緒にゴールインします。
そのような思いで、当院で治療を受けていただく患者さんに、少しでも治療の流れを知っていただこうと、作成しました。

それでは、当院で行っているエッジワイズ装置の流れについて説明いたします。
(各種エッジワイズ装置は、こちらをご覧ください。)
まず、エッジワイズ装置ですが、ブラケット(金属製またはセラミック製)という装置を上下すべての歯に接着し、屈曲したワイヤーを個々のブラケットにはめた装置の総称です。ワイヤーは細いサイズの丸いものからだんだんと太いサイズへ、また、角のワイヤーへと変わって行きます。ワイヤーの材質も軟らかいものから硬いものへと変わっていきます。
種々のワイヤーを使うことによって、個々の歯を3次元的にコントロールし、奇麗な歯並びとかみ合わせを実現いたします。
次に、治療開始からの各ステップをご紹介いたします。抜歯される方の治療の流れを書いておりますが、非抜歯治療の方にも参考になると思います。
非抜歯で治療を受けられる方は、このエッジワイズ装置、あるいは補助装置により配列のスペースを作りますので、抜歯する必要はありません。抜歯の部分をとばしてお読みください。
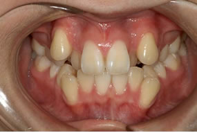
一般的な治療例として上下の歯並びに「がたがた」のある乱杭歯を想定しました。
ご自身の場合と置き換えてご覧ください。
治療方針は、上下の第一小臼歯(前から4番目の歯です)の抜歯となりました。

個人によって装着の順序が異なりますが、第一回来院時に、上顎(又は下顎)に矯正装置を装着いたします。写真はデーモンブラケットを装着したものです。

抜歯が必要な場合も、最初に装置を装着し、装着後にアレルギーなど体調に異変がないことを確認していただいてからの抜歯としております。抜歯の依頼書は、装置装着時にお渡しいたします。
抜歯につきましては、1~3ヶ月の間に、体調、仕事、勉強など、ご都合のよい間隔で順次進めて頂ければ結構です。
通常2~3回の間で、順次装置装着を進めていきます。
下図の写真は、装置の装着が終わったところです

登山にたとえると、1合目から4合目あたりまで登ったところです。
ただし、「見晴らし」が良くなり、もともと「がたがた」のきつかった患者さんは、6合目まで登った気分です。歯が並んだことによって、治療を受けるための張り合いが出てくるころです。
エッジワイズ装置による治療の一般的なステップは、抜歯した場合、3段階に分けられます。
抜歯処置を受けたばかりの患者さんは、歯を抜いた場所がちゃんと閉じるのか不安が大きい時かと思います。それも含めて、ステップごとに見て行きましょう。
このステップが終わる頃には凸凹の歯並びは、ほぼ平らになります。しかし、これでおしまいというわけにはいきません。上下の歯並びがそれぞれ平らになっていても、それがかみ合った時にお互い前後、あるいは左右にずれていては良くかむことはできません。
また、抜歯してできたスペースも残っています(写真下段)。
この頃になると、痛みも無くなり「もっと強くして」といった患者さんもでてきます。もっとも、ある基準以上に強くしたからと言って、早く動くわけあけではありません。

治療前に上顎前突(出っ歯)だった人にとっては、ようやく望みがかなえられるステップにやって来たことになります。下顎前突(受け口)だった人では、このステップに入る前の段階で、すでに、前歯の前後的関係は治っている場合が多いのですが、このステップで(主に下の前歯をまとめて後ろに動かすことにより)初めて治ることもあります。ここまで治療が進むと、上下の前歯の位置関係もほぼ正常な状態になり、出っ歯だった人の上の前歯はさがり、受け口だった人の下の前歯もさがります。口元もだいぶすっきりしてきて、今までの苦労がむくわれた気持ちになるでしょう。
このステップ(前後関係をしっかりと保つために)、あるいは、以降のステップをしっかりと行うために、上下のあごの間でゴムリングを使うことがあります。このゴムのことを、顎間ゴムと呼んでいます。通常、就寝中にご使用いただくもので、当院が指示した位置に患者さんご自身によって、かけたりはずしたりするものです。この「顎間ゴム」は、治療の中で非常に大切な役割をもっていますから指示どおりに、お使いください。そうでないと、治療が予定通りに進まなくなったり、思うように治らなくなることもあるので、一緒にがんばりましょう。(写真は顎間ゴムを使用中の状態です)

ここまでくると、8合目あたりです。もう、登頂した気分です。
でも本当は、ここから後の頂上までが歯の安定のためには大切な期間なのです。
STEP 2まで終わった段階では、見た目にはほとんど凸凹もなく平らになり、出っぱりもなくなり、きれいな歯並びになりました。あとは、最終調整を残すのみです。
矯正治療では、この最後の仕上げも非常に大切なのです。このステップをおろそかにすると、理想的なかみ合わせが得られないばかりか、治療後の後もどりする可能性もでてきます。ここが、最後の我慢です。

これを乗り越えて、やっと重い装備から解放されます。登頂成功です。
おめでとうございます!この登山には、下りはございません。ご安心ください。
装置装着から、撤去まで、上記の期間を合計しますと、2~2年半程度かかります。(ただし、歯並びの程度、治療計画、年齢などによって、期間がかわることもあります)。
決して、短い治療期間ではありませんが、必ず、最後に、きれいな歯並びになります。装置のはずれる日を夢見て、くじけずに一緒にがんばりましょう。

治療前

治療後
患者さんからのよくある質問
当院で使用している矯正装置は、着色変色ないものを使用しております。ただ、付加装置で使用するゴム類がカレー(ターメリック)等で着色する場合があります。気になる場合は、食事の際、カレー等をお控えいただけましたら、着色することはございません。
また、ゴム類は毎回、来院時に新しいものと交換します。また、次回の予約日時までに気になる場合は無料にて取り替えますので、ご連絡ください。
当院では、矯正治療中の歯への負担が少なく、治療効率の良い装置を標準として使用しております。そのため、ブラケットとワイヤーを留めるためにゴム類を使用いたしません。そのため、カラーゴムの使用は可能ですが、装置の利点が半減するため、お勧めできません。

一般的なカラーゴム使用時

当院で使用しているセラミック装置
ワイヤーの処理に関しては、細心の注意を払っておりますが、歯が並んでくると、どうしても奥にワイヤーが伸びてきます。その場合は、来院いただければ処置させていただきます。来院できない場合は、ワイヤーが出てきて痛い部位にワックスをつけて応急処置をして下さい。もし、ご自分で切れるようであれば、きれいな爪切り等を使って切っていただいても結構ですが、お勧めするものではありません。
応急処置、救急処置につきましては、堺・千里どちらのクリニックでも対応しております。
↑歯が並んでくると、奥にワイヤーが伸びてくることがあります
気になったり、お痛みがある場合は来院下さい。着け直しさせていただきます。また、矯正治療初期の段階(その他の部分の歯並びに「ゆがみ」が残っているような状態)であれば、次回の来院時まで、そのままでも、矯正治療に遅れは生じません。ただし、矯正治療中期以降(すでに、前歯部の配列が整っている状態)にかかっている場合で、次回のご予約日までお時間がある場合は、それまでに一度、来院していただいた方が、治療がスムーズに運びます。
来院いただければ、ワイヤーカバーなどもございますので処置いたします。来院できない場合はワックスをつけて応急処置をして下さい。また、歯が並んでくると、頬の粘膜に当たるのが柔らかくなりますので、痛みはなくなります。
はずすことは出来ます。但し、装置代として上下で50,000円(税抜)と調節料5,000円(税抜)を、ご負担いただいております。ご了承下さい。
通常、歯の動くお痛みは2~3日で落ち着きます。どうしても痛い場合は、市販の痛み止めなどのお薬を飲んでいただいても結構ですし、当院でもお渡しいたしております。また、処方箋もご用意いたしておりますので、必要であればお申し出下さい。
また、食事は固いものを避け、出来るだけ柔らかいものを食べることをお勧めいたします。また、少し冷たい水を含んでいただきますと、ワイヤーの矯正力が弱まり、痛みが和らぎます。
ただ、お痛みが長期間続くようであれば、矯正の力を弱めるなどの処置をいたしますので、ご連絡下さい。
矯正治療中は冷たいものがしみる場合がありますが、特に問題はありません。ただし、冷たいものが持続してしみたり、熱いものがしみ出した場合は、歯髄の炎症なども考えられますので、我慢せず早急にご連絡下さい。
その際は、一時的に矯正の力を弱めたり、しみ止めのお薬を塗るなどの処置を行い、様子を見ます。そうすると、大体の場合は治まっていきます。
歯が並ぶに従い、隠れていた虫歯が見えてくることがありますが、そのような虫歯は、急速に進行することはありませんので、区切りの良いステップで虫歯の治療に行っていただきます。ただ、痛みが強い場合は、装置を一時的に撤去し、早急に行っていただくこともありますのでご連絡下さい。
尚、当院では、ご来院の際に虫歯チェックを行っておりますが、虫歯・着色などについてお気づきの点がございましたら、来院時にお知らせ下さい。
矯正治療上、問題がなければ抜歯の必要はありません。しかし、治療後の後戻りの原因となることもありますので、適当な時期に抜歯をしていただく事もあります。また、親知らずは、一番奥にあるために、ブラッシングしにくいのが原因で、虫歯や歯肉に炎症が起こりやすい歯ですので、よりしっかりとブラッシングが必要です。どちらにしても、来院の際に、今後の対応(抜歯等)を相談させていただきます。
茶渋やタバコのヤニ等の着色については、当院で除去でき、ご来院時に定期的に行っております。気になる場合は、ご遠慮なくお申し出下さい。また、ご家庭での管理として、着色を落とす歯磨剤も販売いたしておりますので、スタッフまでご相談下さい。また、それでも残るブラケット回りの若干の着色は、装置撤去時に除去いたしますのでご安心ください。
歯ブラシを歯ぐきに当てて白くなるくらいに押さえて、ゆっくり動かしていただくマッサージや、ブラッシングをしっかり行ってください。そうすれば次第におさまってきます。また、来院時に当院で指導させていただきます。
治まらなければ、来院の際に、腫れた歯ぐきの部分を洗浄したり、お薬を入れたりしますので、その部位をお知らせ下さい。
市販されている口内炎のお薬をつけていただいても結構ですし、当院にも口内炎のお薬は用意しております。
また、口内炎が装置に当たって痛いようであれば、当院でお渡しするワックスをつけて装置をカバーして下さい。
通常は1週間~10日、長くとも1ヶ月ほどで違和感は取れます。裏側の装置の場合は1ヶ月以上かかることもありますが、必ず慣れますのでご安心下さい。
また、状況によっては、装置を出来る限り小さくするなど、当院で対処させていただきますので、ご安心下さい。
尚、しゃべりにくいからと言ってしゃべらないでいると、なかなか慣れず、発音もしにくいままですので、ご自宅で本を音読するなど、発音練習のようなことをしていただけると、より早く装置にも慣れ、発音もしやすくなります。
あまりにも固いものは、装置の破損の原因となりますので控えて下さい。また、ガムやキャラメルといった粘着性のあるおやつは装置に付着しやすいので、できるだけ控えて下さい。
例えば、フランスパン、焼き鳥、鳥のもも焼きなどは、前歯でかみ切らず、小さく切って奥歯で食べるようにする等の工夫をお願いいたします。
電動歯ブラシはお使いいただいて結構です。おすすめ致します。替えブラシなどで費用がかかりますが、より効率的に「汚れ」を落とすことが可能です。
当院が推奨する電動歯ブラシは
*ジーシープリニア(GC PRINIA)音波振動歯ブラシ 8700円(消費税込)
インターネットの通販サイトなどでも、ご購入いただけるようです。