〒599-8122 大阪府堺市東区丈六174-6
ID:80
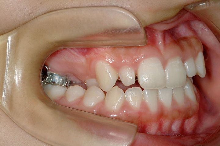
臼歯部不正(交叉咬合など)
叢生(乱ぐい歯)
下顎前突(受け口)
前歯部不正(交叉咬合など)

受け口と前歯部のデコボコを主訴に来院された中学校二年生の患者さんです。右側臼歯部交叉咬合と下顎の前突感を呈しており、上顎前歯の叢生も著明でした。また上顎側切歯は形が小さい矮小歯でした。前期治療として急速拡大装置を用いた上顎の拡大を行った後、リンガルアーチとチンキャップを用い、前歯部被蓋改善と下顎の成長抑制を行いました。後期治療は非抜歯でエッジワイズ装置を用いて配列を行いました。
歯列矯正を始めるに当たって、後戻り・失活・虫歯(歯周病)・歯根吸収・ブラックトライアングル・歯肉退縮・顎関節症などのリスクがあることを説明し、患者さんには十分ご理解頂いた上で治療を行いました(以下もご覧ください)。また、別ページにある【矯正歯科治療に伴う一般的なリスクや副作用について】もご覧ください。
6年5ヵ月
64回
基本料金:560,000円 調節料:5,000円/回
記載している治療費用は、治療当時の価格(税抜価格表示)となります。
現在の費用は治療費のご案内でご確認くださいませ。
歯列矯正を始めるに当たって、以下のリスクと副作用があることを説明し、患者さんには十分ご理解頂いた上で治療を行いました。