症例紹介

トップページ > 症例紹介 > 19歳 女性 永久歯列 抜歯 (抜歯部位:上下顎小臼歯)

19歳 女性 永久歯列 抜歯 (抜歯部位:上下顎小臼歯)

ID:75

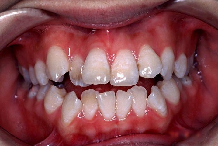
開咬

叢生(乱ぐい歯)

上顎前突(出っ歯)

前歯が咬めないことを主訴に来院された大学生の患者さんです。開咬と叢生があり、上下顎の小臼歯抜歯でエッジワイズ装置を用いて配列を行いました。

歯列矯正を始めるに当たって、後戻り・失活・虫歯(歯周病)・歯根吸収・ブラックトライアングル・歯肉退縮・顎関節症などのリスクがあることを説明し、患者さんには十分ご理解頂いた上で治療を行いました(以下もご覧ください)。また、別ページにある【矯正歯科治療に伴う一般的なリスクや副作用について】もご覧ください。

治療期間

2年0ヵ月

治療回数

32回

治療費概算

基本料金:510,000円 調節料:5,000円/回

記載している治療費用は、治療当時の価格(税抜価格表示)となります。
現在の費用は治療費のご案内でご確認くださいませ。

症例画像

初診時

動的治療終了時

副作用・リスクの項目

歯列矯正を始めるに当たって、以下のリスクと副作用があることを説明し、患者さんには十分ご理解頂いた上で治療を行いました。

①後戻り
歯並びを治しても、後戻りが生じる場合があります。
②失活
歯は生きていますが、何らかの原因によって歯が死ぬことがあり、黒く変色してしまいます。
③虫歯・歯周病
虫歯・歯周病ともに細菌による感染症です。矯正装置のせいで、これらに罹患しやすくなります。
④歯の根が短くなることがある(歯根吸収)
歯の根が短くなることがあります。
⑤ブラックトライアングル
歯と歯の間の歯肉が下がり、歯間が黒い三角形に見えることがあります。
⑥歯肉退縮
歯の移動とともに歯を支えている骨が壊れてしまうことがあります。そのせいで、表面を覆っている歯肉が下がって歯根の一部が露出したり、歯肉が裂けたように見えたりします。
⑦顎関節症
矯正治療中、「アゴが鳴る」、「アゴが痛い」、「口が開きにくい」といった症状(顎関節症の3大症状)が出てしまう場合があります。
⑧過成長
成長期の受け口の患者さんの場合、下顎の成長を抑えられないことがあります。
⑨金属アレルギー
矯正装置には様々な金属が使用されています。体質によっては、金属アレルギーを起こす場合があります。

別ページにある【矯正歯科治療に伴う一般的なリスクや副作用について】もご覧ください。

お問合せ・ご予約はお気軽に072-237-3739
初診予約はこちら