〒599-8122 大阪府堺市東区丈六174-6
ID:69
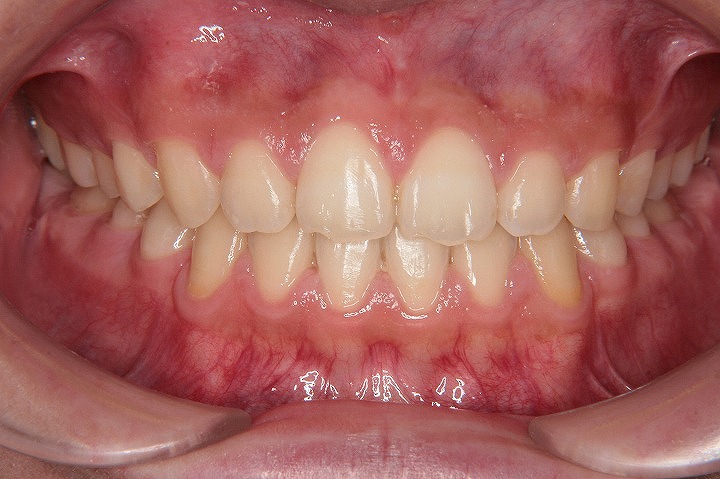
上顎前突(出っ歯)
前歯部不正(交叉咬合など)

出っ歯を主訴に来院された小学校6年生の患者さんです。永久歯列ではありましたが、上顎第二大臼歯が未萌出でしたのでヘッドギアーとGMDで上顎への治療を行った後、非抜歯でエッジワイズ装置を用いて配列を行いました。前期1年、後期3年2カ月で治療いたしております。
歯列矯正を始めるに当たって、後戻り・失活・虫歯(歯周病)・歯根吸収・ブラックトライアングル・歯肉退縮・顎関節症などのリスクがあることを説明し、患者さんには十分ご理解頂いた上で治療を行いました(以下もご覧ください)。また、別ページにある【矯正歯科治療に伴う一般的なリスクや副作用について】もご覧ください。
4年2ヵ月
45回
基本料金:660,000円 調節料:5,000円/回
記載している治療費用は、治療当時の価格(税抜価格表示)となります。
現在の費用は治療費のご案内でご確認くださいませ。
歯列矯正を始めるに当たって、以下のリスクと副作用があることを説明し、患者さんには十分ご理解頂いた上で治療を行いました。