〒599-8122 大阪府堺市東区丈六174-6
ID:51
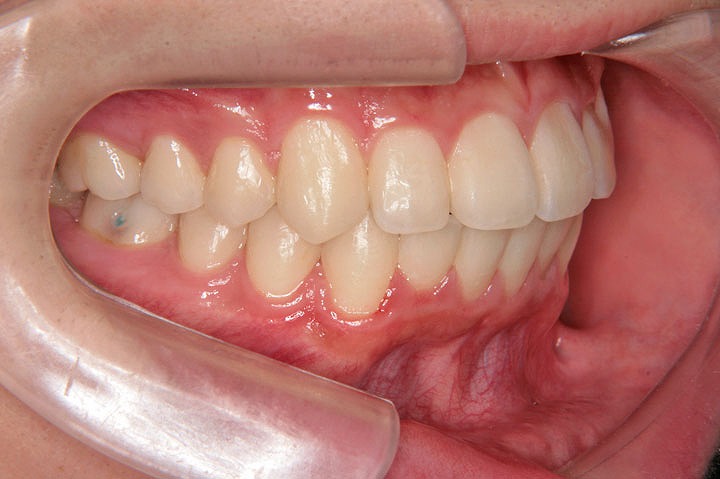
叢生(乱ぐい歯)
前歯部不正(交叉咬合など)

歯のデコボコを主訴に来院された小学校5年生の患者さんです。叢生の程度はかなり重度でしたが、リンガルアーチによる前歯部交叉咬合の改善より開始し、ヘッドギアーによる、上顎大臼歯の後方への拡大を行いました。その後、非抜歯でデーモンシステムを用いて配列を行いました。前期1 年6ヶ月、後期2年6ヶ月で治療いたしております。
歯列矯正を始めるに当たって、後戻り・失活・虫歯(歯周病)・歯根吸収・ブラックトライアングル・歯肉退縮・顎関節症などのリスクがあることを説明し、患者さんには十分ご理解頂いた上で治療を行いました(以下もご覧ください)。また、別ページにある【矯正歯科治療に伴う一般的なリスクや副作用について】もご覧ください。
4年0ヵ月
48回
基本料金:560,000円 調節料:5,000円/回
記載している治療費用は、治療当時の価格(税抜価格表示)となります。
現在の費用は治療費のご案内でご確認くださいませ。
歯列矯正を始めるに当たって、以下のリスクと副作用があることを説明し、患者さんには十分ご理解頂いた上で治療を行いました。