〒599-8122 大阪府堺市東区丈六174-6
ID:489
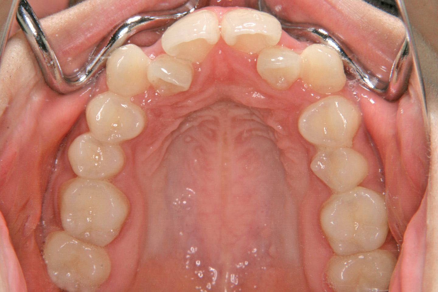
上顎前突(出っ歯)
叢生(乱ぐい歯)

歯のデコボコを気にされて来院された15歳の女子の患者さんです。歯のデコボコの程度が強く上顎の前突傾向があったため、上顎小臼歯を抜歯させていただきエッジワイズ装置を用いて治療させていただきました。途中、顎間ゴムをご協力いただき、口元の前突感を改善することができました。現在、上下ともにボンデッドワイヤーとリテーナーを併用した保定期間に移行しております。
歯列矯正を始めるに当たって、後戻り・失活・虫歯(歯周病)・歯根吸収・ブラックトライアングル・歯肉退縮・顎関節症などのリスクがあることを説明し、患者さんには十分ご理解頂いた上で治療を行いました(以下もご覧ください)。また、別ページにある【矯正歯科治療に伴う一般的なリスクや副作用について】もご覧ください。
3年1ヵ月
33回
基本料金:660,000円 調節料:5,000円/回
記載している治療費用は、治療当時の価格(税抜価格表示)となります。
現在の費用は治療費のご案内でご確認くださいませ。
歯列矯正を始めるに当たって、以下のリスクと副作用があることを説明し、患者さんには十分ご理解頂いた上で治療を行いました。