〒599-8122 大阪府堺市東区丈六174-6
ID:487
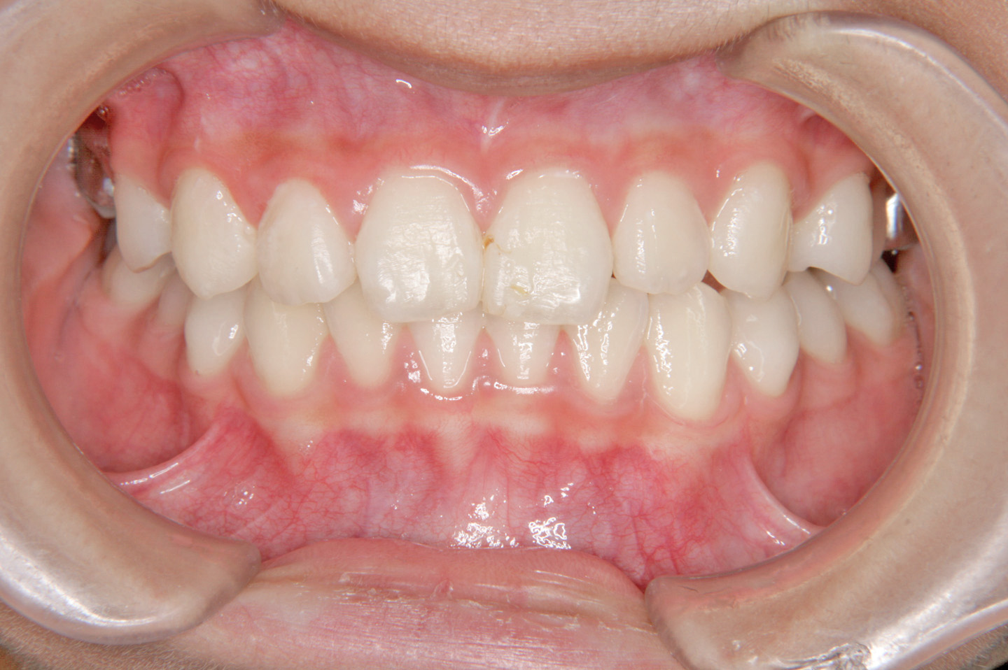
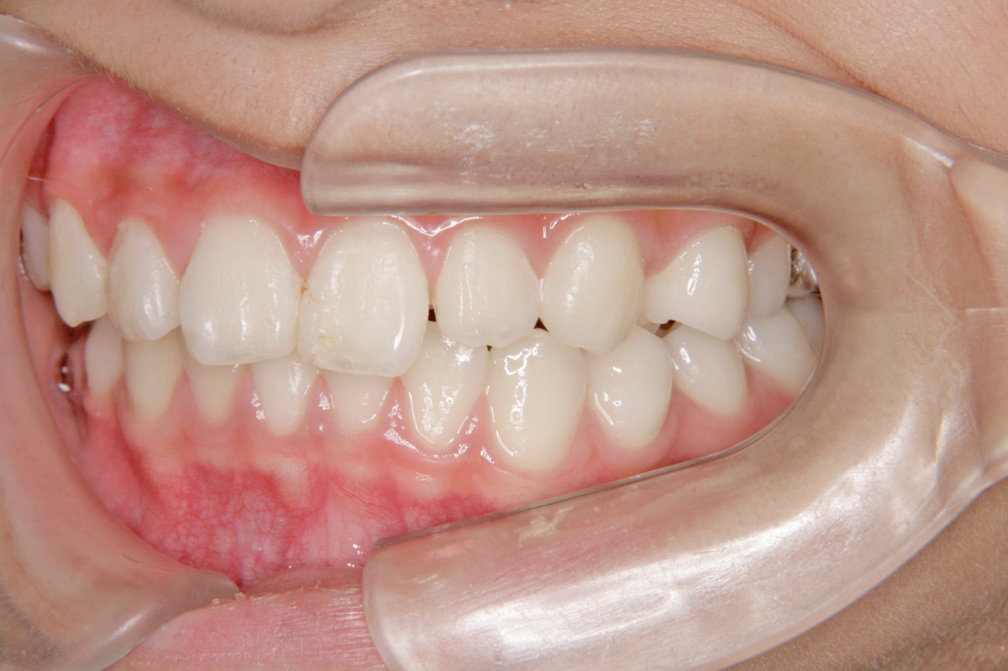
下顎前突(受け口)
過蓋咬合(深いかみ合わせ)

受け口主訴に来院された7歳の患者さんです。受け口は骨格性のもので、前期治療ではリンガルアーチとチンキャップを併用し、前歯部のかみ合わせを改善しました。その後も成長期の間は、受け口が再発することもあるため、観察を続けながら後期治療に移行いたしました。非抜歯でエッジワイズ装置を用いて配列を行いました。
歯列矯正を始めるに当たって、後戻り・失活・虫歯(歯周病)・歯根吸収・ブラックトライアングル・歯肉退縮・顎関節症などのリスクがあることを説明し、患者さんには十分ご理解頂いた上で治療を行いました(以下もご覧ください)。また、別ページにある【矯正歯科治療に伴う一般的なリスクや副作用について】もご覧ください。
10年7ヵ月
62回
基本料金:660,000円 調節料:5,000円/回
記載している治療費用は、治療当時の価格(税抜価格表示)となります。
現在の費用は治療費のご案内でご確認くださいませ。
歯列矯正を始めるに当たって、以下のリスクと副作用があることを説明し、患者さんには十分ご理解頂いた上で治療を行いました。