〒599-8122 大阪府堺市東区丈六174-6
ID:486
上顎前突(出っ歯)
叢生(乱ぐい歯)
過蓋咬合(深いかみ合わせ)
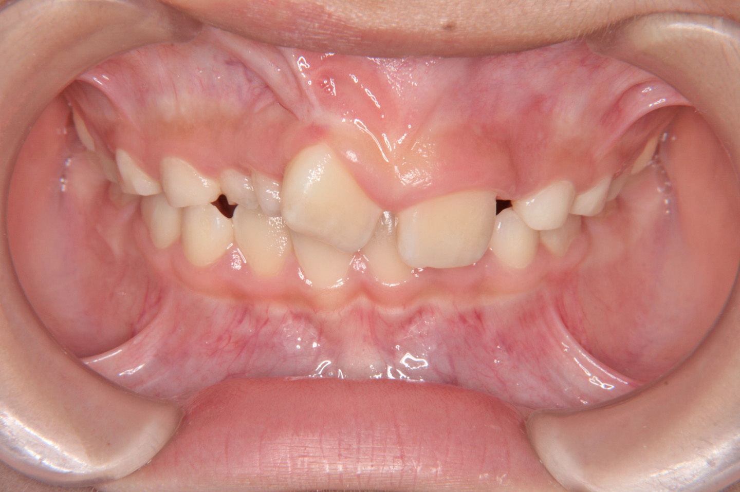
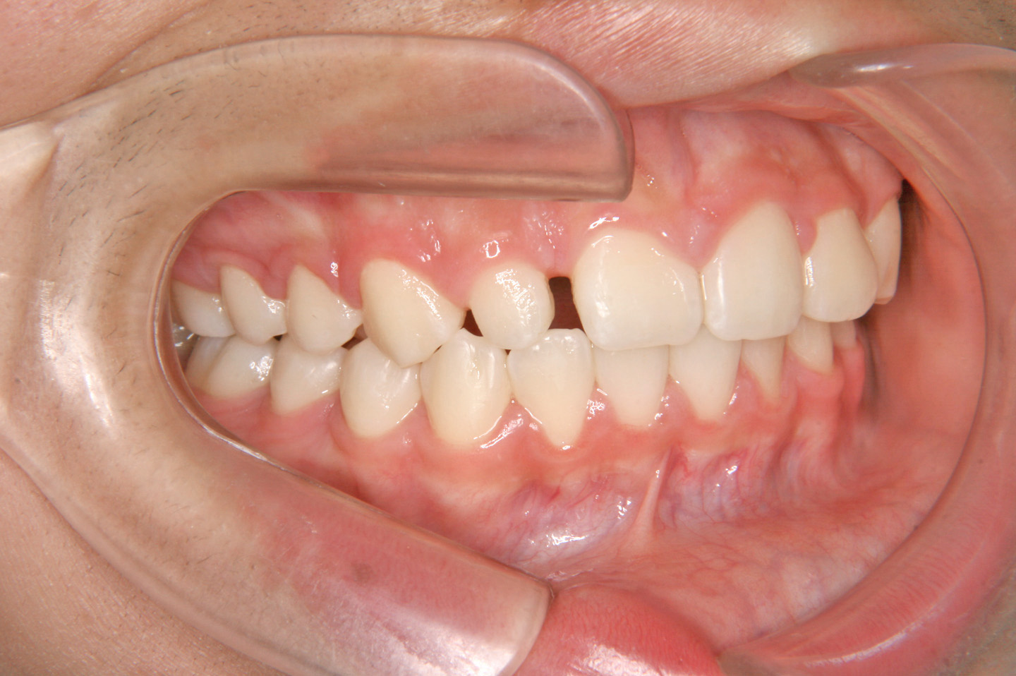
口唇口蓋裂

唇裂患児で8歳の男子です。関連病院からのご紹介で来院されました。前期治療では、狭窄した上顎、叢生、および過蓋咬合を改善するためヘッドギアー、床装置、クォードヘリックス、バイヘリックスを使用しました。その後、全身成長の終了を待ってデーモンシステムを使ったエッジワイズ治療に移行し後期治療を行い、保定に移行いたしております。
歯列矯正を始めるに当たって、後戻り・失活・虫歯(歯周病)・歯根吸収・ブラックトライアングル・歯肉退縮・顎関節症などのリスクがあることを説明し、患者さんには十分ご理解頂いた上で治療を行いました(以下もご覧ください)。また、別ページにある【矯正歯科治療に伴う一般的なリスクや副作用について】もご覧ください。
6年1ヵ月
54回
保険適用
記載している治療費用は、治療当時の価格(税抜価格表示)となります。
現在の費用は治療費のご案内でご確認くださいませ。
歯列矯正を始めるに当たって、以下のリスクと副作用があることを説明し、患者さんには十分ご理解頂いた上で治療を行いました。