〒599-8122 大阪府堺市東区丈六174-6
ID:480
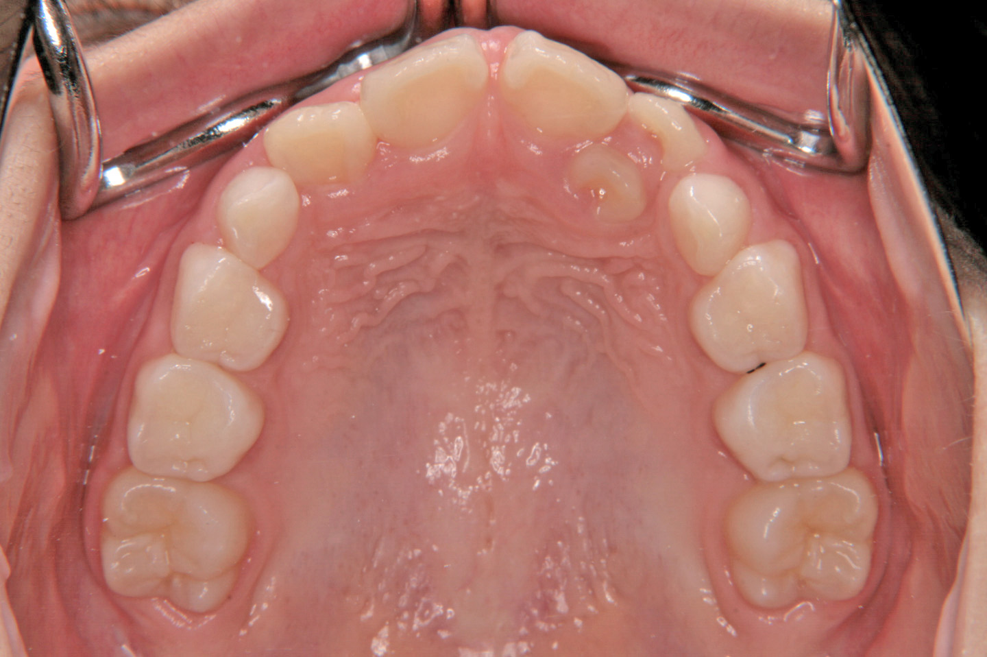
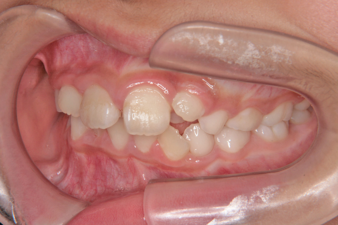
上顎前突(出っ歯)
叢生(乱ぐい歯)
過蓋咬合(深いかみ合わせ)
過剰歯

前歯のデコボコを気にされて来院された7歳の女子です。検査の結果、上顎前突で上下顎ともに歯の並ぶスペースが足りない状態でした。そこで前期治療ではヘッドギアーと拡大床、バイヘリックスを使用し、上顎の成長抑制をしながら、上下顎のスペースを獲得しました。その後、後期治療では非抜歯でエッジワイズ装置を用いて配列を行いました。
歯列矯正を始めるに当たって、後戻り・失活・虫歯(歯周病)・歯根吸収・ブラックトライアングル・歯肉退縮・顎関節症などのリスクがあることを説明し、患者さんには十分ご理解頂いた上で治療を行いました(以下もご覧ください)。また、別ページにある【矯正歯科治療に伴う一般的なリスクや副作用について】もご覧ください。
6年2ヵ月
55回
基本料金:660,000円 調節料:5,000円/回
記載している治療費用は、治療当時の価格(税抜価格表示)となります。
現在の費用は治療費のご案内でご確認くださいませ。
歯列矯正を始めるに当たって、以下のリスクと副作用があることを説明し、患者さんには十分ご理解頂いた上で治療を行いました。