〒599-8122 大阪府堺市東区丈六174-6
ID:473
その他
下顎前突(受け口)

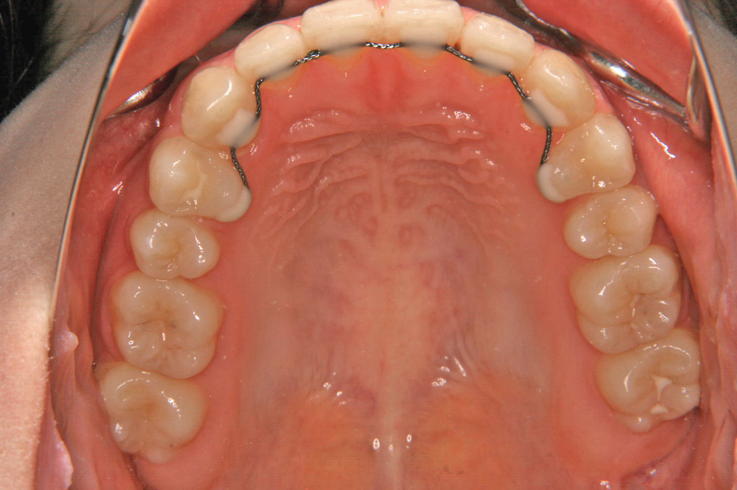
初診時16歳の女性で、上顎左側犬歯の埋伏(はえてこないこと)を主訴に来院されました。エッジワイズ装置による上下の歯の配列を行いながら、同歯の萌出スペースを獲得すると、自然にはえてきました。その後、上顎左側犬歯を含めた全体の配列を行いました。現在は、ボンデッドワイヤーとリテーナーを併用した保定に移行しております。
歯列矯正を始めるに当たって、後戻り・失活・虫歯(歯周病)・歯根吸収・ブラックトライアングル・歯肉退縮・顎関節症などのリスクがあることを説明し、患者さんには十分ご理解頂いた上で治療を行いました(以下もご覧ください)。また、別ページにある【矯正歯科治療に伴う一般的なリスクや副作用について】もご覧ください。
2年3ヵ月
25回
基本料金:660,000円 調節料:5,000円/回
記載している治療費用は、治療当時の価格(税抜価格表示)となります。
現在の費用は治療費のご案内でご確認くださいませ。
歯列矯正を始めるに当たって、以下のリスクと副作用があることを説明し、患者さんには十分ご理解頂いた上で治療を行いました。