〒599-8122 大阪府堺市東区丈六174-6
ID:469
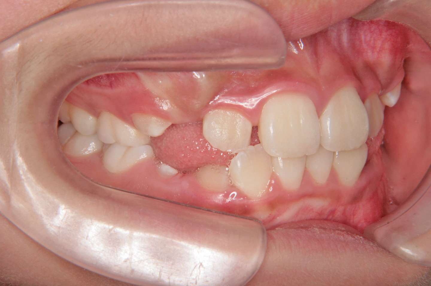
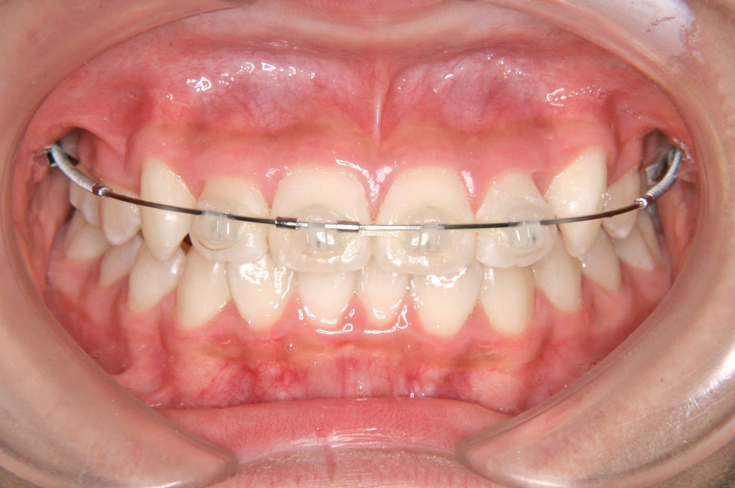
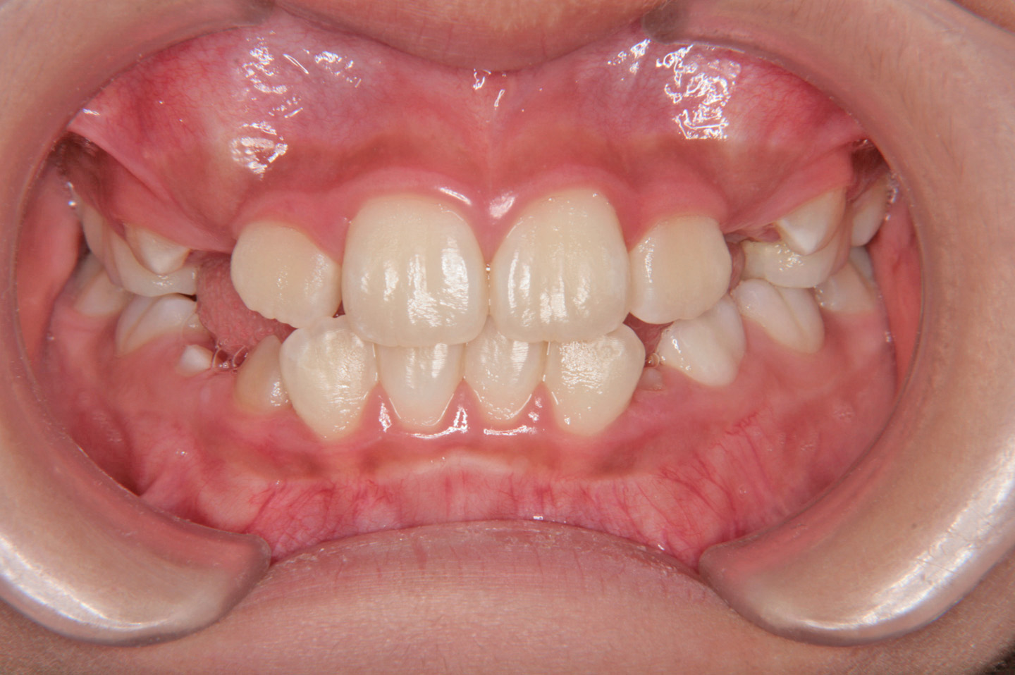
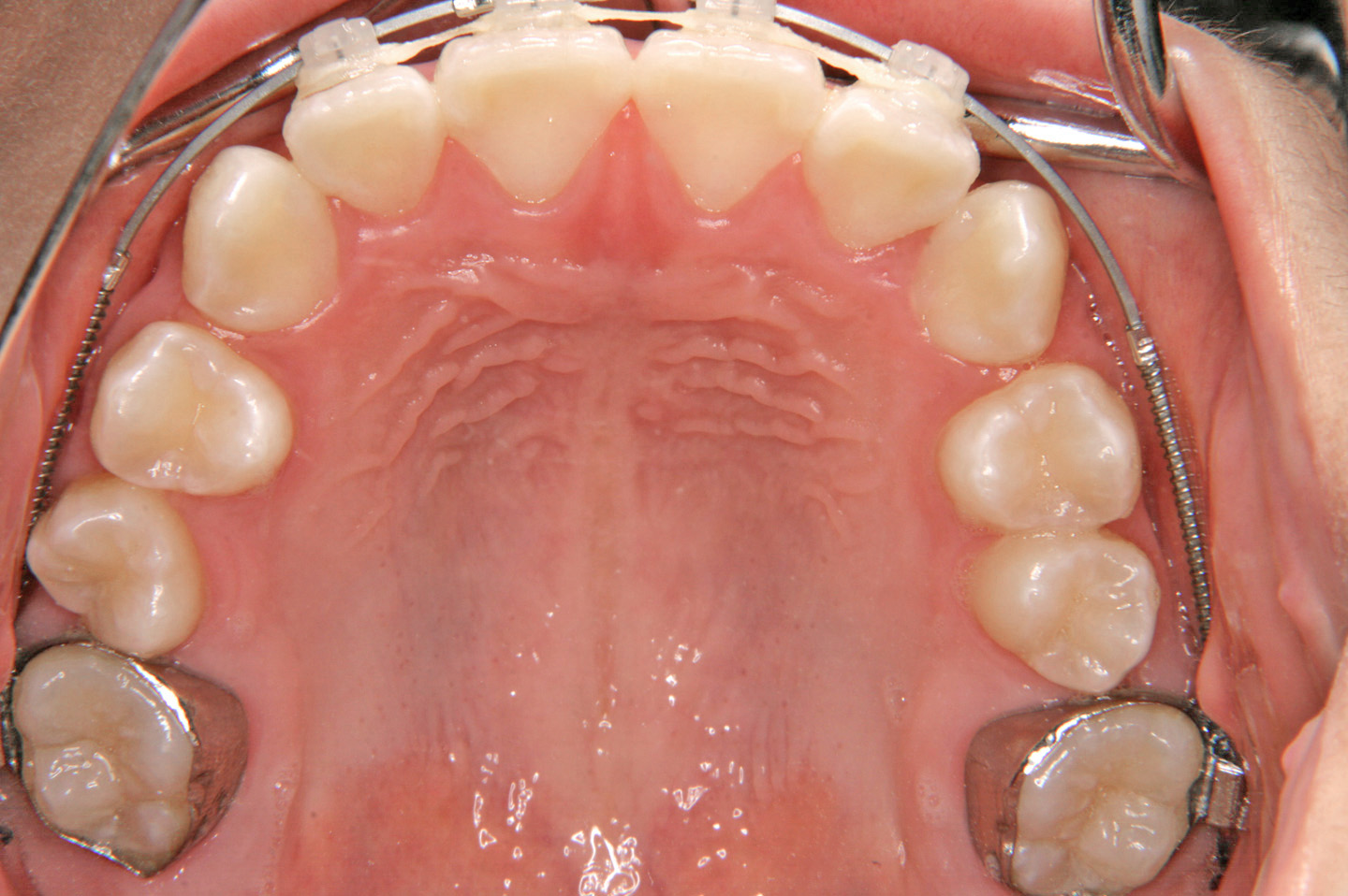
叢生(乱ぐい歯)

初診時、骨格的な問題は少なく、前期治療では上下の永久歯が並ぶスペースを獲得するため、ヘッドギアー装置とセクショナルアーチ装置を用いました。後期治療として非抜歯の上、デーモンシステムによるエッジワイズ治療を行いました。現在は、リテーナーとボンデッドワイヤーによる保定期間に移行しております。
歯列矯正を始めるに当たって、後戻り・失活・虫歯(歯周病)・歯根吸収・ブラックトライアングル・歯肉退縮・顎関節症などのリスクがあることを説明し、患者さんには十分ご理解頂いた上で治療を行いました(以下もご覧ください)。また、別ページにある【矯正歯科治療に伴う一般的なリスクや副作用について】もご覧ください。
6年7ヵ月
55回
基本料金:660,000円 調節料:5,000円/回
記載している治療費用は、治療当時の価格(税抜価格表示)となります。
現在の費用は治療費のご案内でご確認くださいませ。
歯列矯正を始めるに当たって、以下のリスクと副作用があることを説明し、患者さんには十分ご理解頂いた上で治療を行いました。