〒599-8122 大阪府堺市東区丈六174-6
ID:455
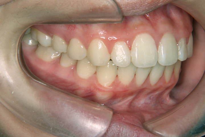
前歯部不正(交叉咬合など)
叢生(乱ぐい歯)

上の前歯のデコボコを気にされて来院された9歳の女子です。前歯部交叉咬合で、上顎は歯の並ぶ空隙が足りない状態でした。ヘッドギアーで上顎臼歯を後方に移動させ歯の並ぶ空隙を作り、リンガルアーチを用いて前歯の交叉咬合を改善し、セクショナルアーチで前歯を配列しました。その後、非抜歯でエッジワイズ装置を用いて全体的な配列を行いました。
歯列矯正を始めるに当たって、後戻り・失活・虫歯(歯周病)・歯根吸収・ブラックトライアングル・歯肉退縮・顎関節症などのリスクがあることを説明し、患者さんには十分ご理解頂いた上で治療を行いました(以下もご覧ください)。また、別ページにある【矯正歯科治療に伴う一般的なリスクや副作用について】もご覧ください。
5年7ヵ月
58回
基本料金:660,000円 調節料:5,000円/回
記載している治療費用は、治療当時の価格(税抜価格表示)となります。
現在の費用は治療費のご案内でご確認くださいませ。
歯列矯正を始めるに当たって、以下のリスクと副作用があることを説明し、患者さんには十分ご理解頂いた上で治療を行いました。