〒599-8122 大阪府堺市東区丈六174-6
ID:433
下顎前突(受け口)
叢生(乱ぐい歯)
臼歯部不正(交叉咬合など)

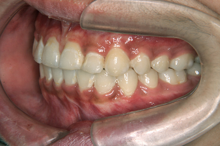
受け口を主訴に来院された7歳11ヶ月の患者さんです。前歯部反対咬合は機能性の要因もあったため、リンガルアーチとチンキャップを併用し、前歯部のかみ合わせを改善することを優先しました。その後、非抜歯でエッジワイズ装置を用いて配列を行いました。
歯列矯正を始めるに当たって、後戻り・失活・虫歯(歯周病)・歯根吸収・ブラックトライアングル・歯肉退縮・顎関節症などのリスクがあることを説明し、患者さんには十分ご理解頂いた上で治療を行いました(以下もご覧ください)。また、別ページにある【矯正歯科治療に伴う一般的なリスクや副作用について】もご覧ください。
8年11ヵ月
55回
基本料金:660,000円 調節料:5,000円/回
記載している治療費用は、治療当時の価格(税抜価格表示)となります。
現在の費用は治療費のご案内でご確認くださいませ。
歯列矯正を始めるに当たって、以下のリスクと副作用があることを説明し、患者さんには十分ご理解頂いた上で治療を行いました。