〒599-8122 大阪府堺市東区丈六174-6
ID:426
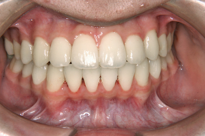
上顎前突(出っ歯)
叢生(乱ぐい歯)

前歯のデコボコを気にされて来院された10歳の男の子です。前期治療はヘッドギアーを用いて大臼歯の後方への拡大、拡大床を用いて横方向の拡大を行いました。第二大臼歯の萌出後、上下顎エッジワイズ装置に移行して非抜歯での治療を行っております。前期治療約2年、後期治療約2年でボンデッドワイヤーとリテーナーを併用した保定に移行しております。
歯列矯正を始めるに当たって、後戻り・失活・虫歯(歯周病)・歯根吸収・ブラックトライアングル・歯肉退縮・顎関節症などのリスクがあることを説明し、患者さんには十分ご理解頂いた上で治療を行いました(以下もご覧ください)。また、別ページにある【矯正歯科治療に伴う一般的なリスクや副作用について】もご覧ください。
3年10ヵ月
36回
基本料金:660,000円 調節料:5,000円/回
記載している治療費用は、治療当時の価格(税抜価格表示)となります。
現在の費用は治療費のご案内でご確認くださいませ。
歯列矯正を始めるに当たって、以下のリスクと副作用があることを説明し、患者さんには十分ご理解頂いた上で治療を行いました。