〒599-8122 大阪府堺市東区丈六174-6
ID:420
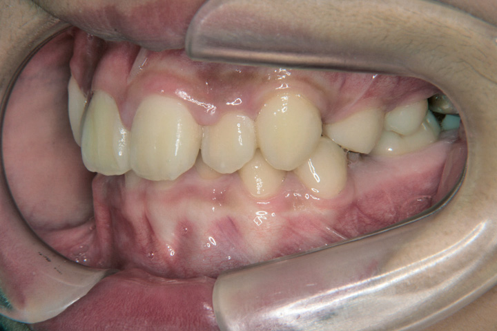
上顎前突(出っ歯)
叢生(乱ぐい歯)
過蓋咬合(深いかみ合わせ)

出っ歯を気にされて来院された8歳の女の子です。ヘッドギアーと床装置で上顎の拡大とバイヘリックスで下顎の拡大を図りました。経過観察後に非抜歯でエッジワイズ装置を用いて配列を行いました。拡大処置4年程度、後期5年程度で治療いたしております。
歯列矯正を始めるに当たって、後戻り・失活・虫歯(歯周病)・歯根吸収・ブラックトライアングル・歯肉退縮・顎関節症などのリスクがあることを説明し、患者さんには十分ご理解頂いた上で治療を行いました(以下もご覧ください)。また、別ページにある【矯正歯科治療に伴う一般的なリスクや副作用について】もご覧ください。
9年3ヵ月
74回
基本料金:660,000円 調節料:5,000円/回
記載している治療費用は、治療当時の価格(税抜価格表示)となります。
現在の費用は治療費のご案内でご確認くださいませ。
歯列矯正を始めるに当たって、以下のリスクと副作用があることを説明し、患者さんには十分ご理解頂いた上で治療を行いました。