〒599-8122 大阪府堺市東区丈六174-6
ID:396
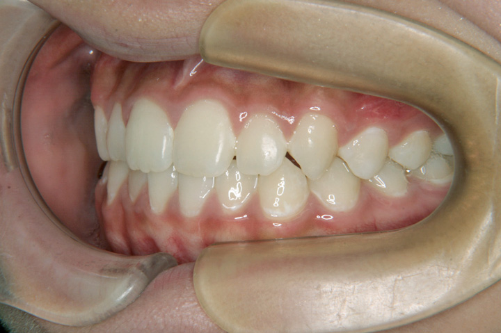
前歯部不正(交叉咬合など)
叢生(乱ぐい歯)

上の前歯のデコボコを気にされて来院された7歳の女子です。リンガルアーチで前歯部被蓋の改善を行いました。その後、クォードヘリックス(バイヘリックスなど)で上顎の拡大とチンキャップを併用して下顎の成長抑制をはかりました。良好な結果を得ることができました。
歯列矯正を始めるに当たって、後戻り・失活・虫歯(歯周病)・歯根吸収・ブラックトライアングル・歯肉退縮・顎関節症などのリスクがあることを説明し、患者さんには十分ご理解頂いた上で治療を行いました(以下もご覧ください)。また、別ページにある【矯正歯科治療に伴う一般的なリスクや副作用について】もご覧ください。
4年2ヵ月
26回
基本料金:360,000円 調節料:5,000円/回
記載している治療費用は、治療当時の価格(税抜価格表示)となります。
現在の費用は治療費のご案内でご確認くださいませ。
歯列矯正を始めるに当たって、以下のリスクと副作用があることを説明し、患者さんには十分ご理解頂いた上で治療を行いました。