〒599-8122 大阪府堺市東区丈六174-6
ID:366
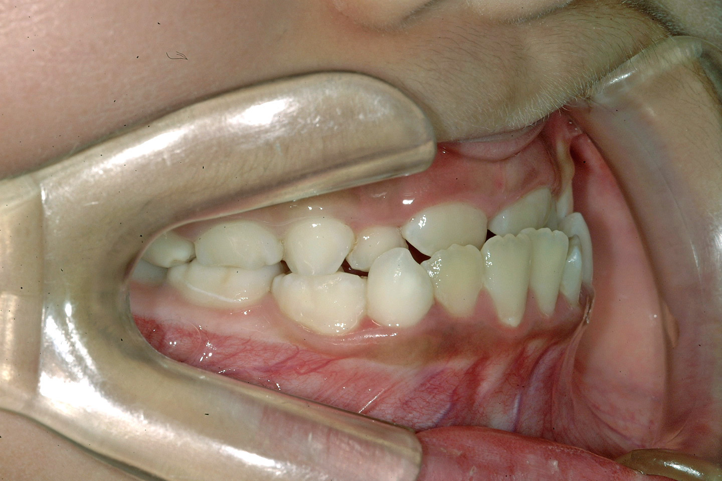
下顎前突(受け口)
叢生(乱ぐい歯)

受け口を主訴に来院された7歳の女子です。骨格性の反対咬合のため、早期の治療開始をおすすめいたしました。リンガルアーチとチンキャップの組み合わせで前歯部被蓋の改善を行いました。その後、経過観察を経てエッジワイズ装置(デーモンシステム)で後期治療を行っておりますが、非抜歯で、良好な結果を得ることができました。
歯列矯正を始めるに当たって、後戻り・失活・虫歯(歯周病)・歯根吸収・ブラックトライアングル・歯肉退縮・顎関節症などのリスクがあることを説明し、患者さんには十分ご理解頂いた上で治療を行いました(以下もご覧ください)。また、別ページにある【矯正歯科治療に伴う一般的なリスクや副作用について】もご覧ください。
10年2ヵ月
72回
基本料金:660,000円 調節料:5,000円/回
記載している治療費用は、治療当時の価格(税抜価格表示)となります。
現在の費用は治療費のご案内でご確認くださいませ。
歯列矯正を始めるに当たって、以下のリスクと副作用があることを説明し、患者さんには十分ご理解頂いた上で治療を行いました。