〒599-8122 大阪府堺市東区丈六174-6
ID:352
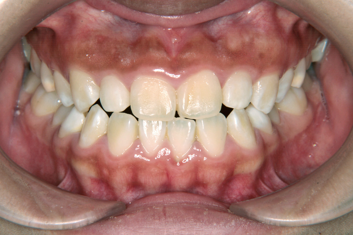
下顎前突(受け口)
叢生(乱ぐい歯)

受け口を気にされて来院された女性です。受け口の度合いが軽度のため、外科的な手術は行わず上顎は裏側からの装置(リンガルブラケット)で歯並びを整えました。ボンデッドワイヤーとリテーナーを併用した保定に移行しております。咬合はもちろんですが、良好なプロファイル(側貌)を得ることができました。
歯列矯正を始めるに当たって、後戻り・失活・虫歯(歯周病)・歯根吸収・ブラックトライアングル・歯肉退縮・顎関節症などのリスクがあることを説明し、患者さんには十分ご理解頂いた上で治療を行いました(以下もご覧ください)。また、別ページにある【矯正歯科治療に伴う一般的なリスクや副作用について】もご覧ください。
2年3ヵ月
30回
基本料金:660,000円 調節料:5,000円/回
記載している治療費用は、治療当時の価格(税抜価格表示)となります。
現在の費用は治療費のご案内でご確認くださいませ。
歯列矯正を始めるに当たって、以下のリスクと副作用があることを説明し、患者さんには十分ご理解頂いた上で治療を行いました。