〒599-8122 大阪府堺市東区丈六174-6
ID:342
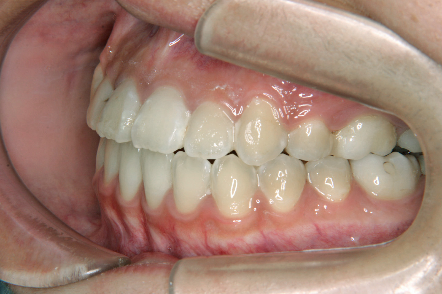
下顎前突(受け口)
叢生(乱ぐい歯)
開咬
臼歯部不正(交叉咬合など)

受け口を気にされて来院された女性です。骨格性の重度な受け口であり、下顎が左へずれていたため下顎骨の外科矯正手術を併用してかみ合わせを改善しました。また、上顎は叢生の程度が大きく、上の前歯歯軸が外向きに傾いておりましたので上顎小臼歯を抜歯させていただきました。反対咬合はもちろんですが、良好なプロファイル(側貌)を得ることができました。2年11ヶ月の動的治療を行い、ボンデッドワイヤーとリテーナーを併用した保定に移行いたしております。
歯列矯正を始めるに当たって、後戻り・失活・虫歯(歯周病)・歯根吸収・ブラックトライアングル・歯肉退縮・顎関節症などのリスクがあることを説明し、患者さんには十分ご理解頂いた上で治療を行いました(以下もご覧ください)。また、別ページにある【矯正歯科治療に伴う一般的なリスクや副作用について】もご覧ください。
2年11ヵ月
40回
保険適用
記載している治療費用は、治療当時の価格(税抜価格表示)となります。
現在の費用は治療費のご案内でご確認くださいませ。
歯列矯正を始めるに当たって、以下のリスクと副作用があることを説明し、患者さんには十分ご理解頂いた上で治療を行いました。