〒599-8122 大阪府堺市東区丈六174-6
ID:323
過蓋咬合(深いかみ合わせ)
叢生(乱ぐい歯)
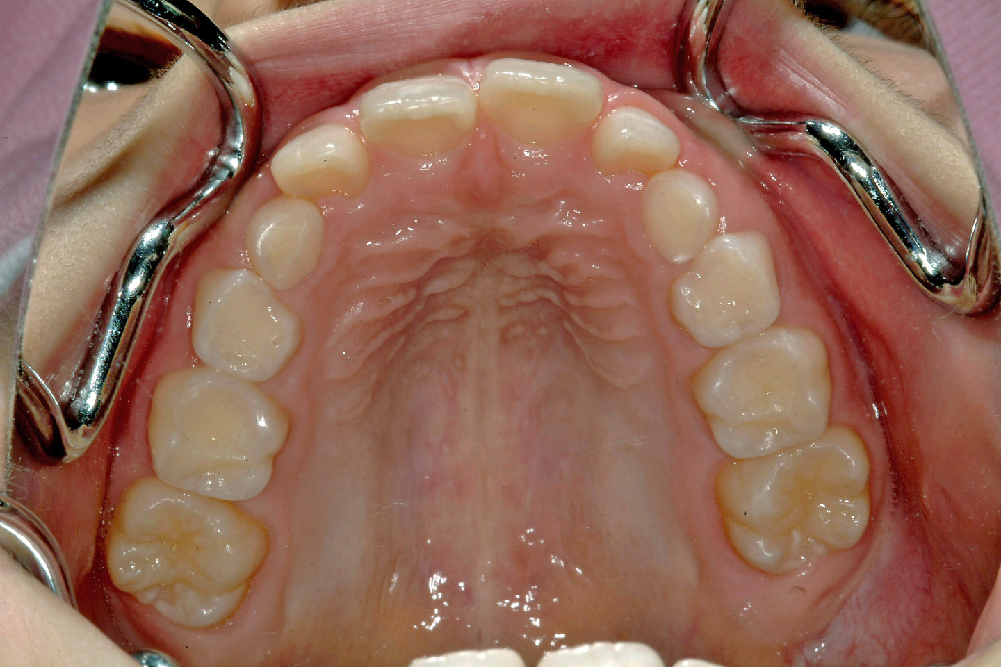
上顎前突(出っ歯)

出っ歯を気にされて来院された9歳の女子です。下顎の後退により下顎前歯が見えないかみ合わせでした。前期治療として上顎骨の成長抑制のためのヘッドギアーと併用する形で咬合斜面板による下顎の前方誘導を行いました。その後、非抜歯によるエッジワイズ治療に移行いたしました。前期治療に約3年、後期治療に約2年を要しております。
歯列矯正を始めるに当たって、後戻り・失活・虫歯(歯周病)・歯根吸収・ブラックトライアングル・歯肉退縮・顎関節症などのリスクがあることを説明し、患者さんには十分ご理解頂いた上で治療を行いました(以下もご覧ください)。また、別ページにある【矯正歯科治療に伴う一般的なリスクや副作用について】もご覧ください。
5年0ヵ月
60回
基本料金:660,000円 調節料:5,000円/回
記載している治療費用は、治療当時の価格(税抜価格表示)となります。
現在の費用は治療費のご案内でご確認くださいませ。
歯列矯正を始めるに当たって、以下のリスクと副作用があることを説明し、患者さんには十分ご理解頂いた上で治療を行いました。