〒599-8122 大阪府堺市東区丈六174-6
ID:319
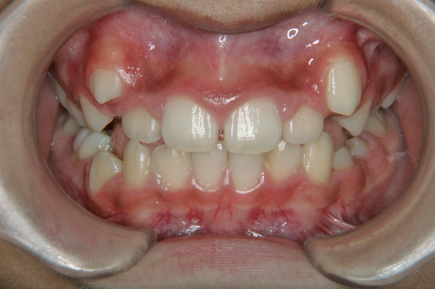
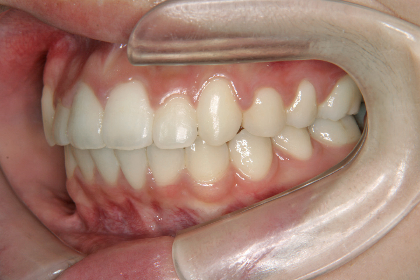
叢生(乱ぐい歯)
上顎前突(出っ歯)

八重歯を気にされて来院された10歳の女子です。上顎の叢生の程度は中程度で上顎第二大臼歯の萌出前であったので、ヘッドギアーとセクショナルアーチを用い、大臼歯の後方への拡大を行いました。その後、その空隙を利用して、非抜歯でエッジワイズ装置を用いて配列を行いました。拡大治療に2年、後期3年で治療いたしております。
歯列矯正を始めるに当たって、後戻り・失活・虫歯(歯周病)・歯根吸収・ブラックトライアングル・歯肉退縮・顎関節症などのリスクがあることを説明し、患者さんには十分ご理解頂いた上で治療を行いました(以下もご覧ください)。また、別ページにある【矯正歯科治療に伴う一般的なリスクや副作用について】もご覧ください。
5年0ヵ月
47回
基本料金:660,000円 調節料:5,000円/回
記載している治療費用は、治療当時の価格(税抜価格表示)となります。
現在の費用は治療費のご案内でご確認くださいませ。
歯列矯正を始めるに当たって、以下のリスクと副作用があることを説明し、患者さんには十分ご理解頂いた上で治療を行いました。