〒599-8122 大阪府堺市東区丈六174-6
ID:246
その他
叢生(乱ぐい歯)
前歯部不正(交叉咬合など)
臼歯部不正(交叉咬合など)
口唇口蓋裂
欠損歯

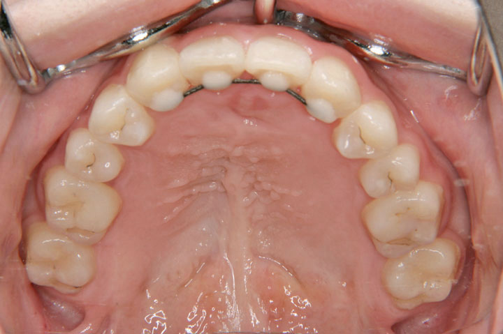
口唇口蓋裂患児のため、関連病院からの紹介で当院を受診されました。小学校4年生の女子です。口蓋裂のため上顎の側方への成長が悪く、拡大床、クォードヘリックスを用い、側方拡大を行いました。その後、永久歯列への交換を待って、エッジワイズ治療を行っております。また、上顎側切歯が両側とも欠損でしたが、大きな違和感もなく配列することができました。
歯列矯正を始めるに当たって、後戻り・失活・虫歯(歯周病)・歯根吸収・ブラックトライアングル・歯肉退縮・顎関節症などのリスクがあることを説明し、患者さんには十分ご理解頂いた上で治療を行いました(以下もご覧ください)。また、別ページにある【矯正歯科治療に伴う一般的なリスクや副作用について】もご覧ください。
6年9ヵ月
59回
保険適用
記載している治療費用は、治療当時の価格(税抜価格表示)となります。
現在の費用は治療費のご案内でご確認くださいませ。
歯列矯正を始めるに当たって、以下のリスクと副作用があることを説明し、患者さんには十分ご理解頂いた上で治療を行いました。