〒599-8122 大阪府堺市東区丈六174-6
ID:245
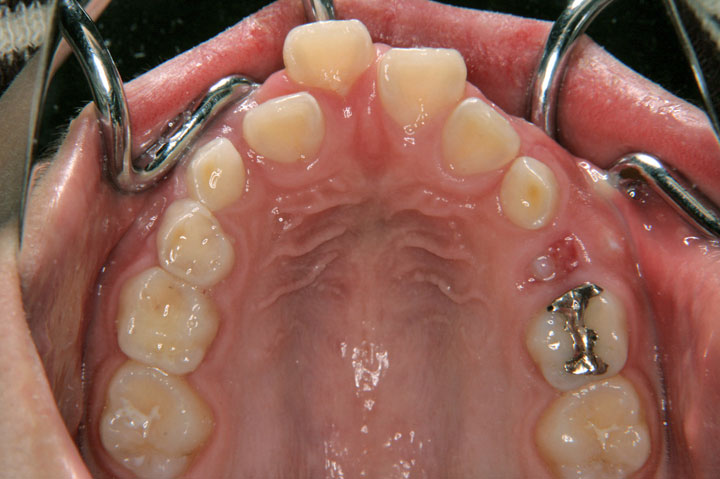
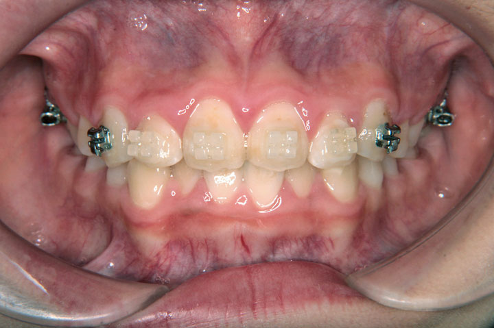
上顎前突(出っ歯)
叢生(乱ぐい歯)
前歯部不正(交叉咬合など)

上顎の前突感と歯のデコボコを主訴に来院された小学校4年生の女子です。上顎前突改善のためにヘッドギアーを用い、あわせて歯列拡大のために拡大床、バイヘリックスで前期治療を行っております。その後、セクショナルアーチで前歯配列から開始し上下顎のエッジワイズ治療に移行いたしました。前期治療2年、後期治療2年を要しております。
歯列矯正を始めるに当たって、後戻り・失活・虫歯(歯周病)・歯根吸収・ブラックトライアングル・歯肉退縮・顎関節症などのリスクがあることを説明し、患者さんには十分ご理解頂いた上で治療を行いました(以下もご覧ください)。また、別ページにある【矯正歯科治療に伴う一般的なリスクや副作用について】もご覧ください。
4年0ヵ月
38回
基本料金:660,000円 調節料:5,000円/回
記載している治療費用は、治療当時の価格(税抜価格表示)となります。
現在の費用は治療費のご案内でご確認くださいませ。
歯列矯正を始めるに当たって、以下のリスクと副作用があることを説明し、患者さんには十分ご理解頂いた上で治療を行いました。