〒599-8122 大阪府堺市東区丈六174-6
ID:237
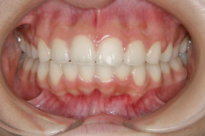
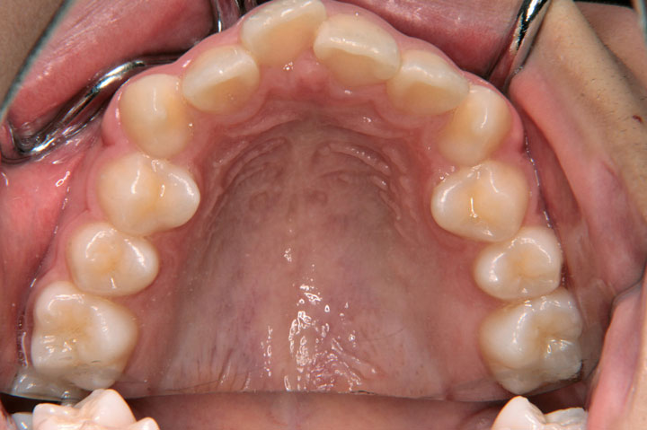
過蓋咬合(深いかみ合わせ)
叢生(乱ぐい歯)
上顎前突(出っ歯)

上顎の前突感と歯の不正を主訴に来院された中学校2年生の女子です。上顎前突、過蓋咬合、叢生などが複合する不正状態で、上顎小臼歯の抜歯をお願いしてデーモンシステムを用いたエッジワイズ治療を行いました。動的治療期間2年8ヶ月を要しましたが、装置を撤去し保定に移行しております。
歯列矯正を始めるに当たって、後戻り・失活・虫歯(歯周病)・歯根吸収・ブラックトライアングル・歯肉退縮・顎関節症などのリスクがあることを説明し、患者さんには十分ご理解頂いた上で治療を行いました(以下もご覧ください)。また、別ページにある【矯正歯科治療に伴う一般的なリスクや副作用について】もご覧ください。
2年8ヵ月
30回
基本料金:660,000円 調節料:5,000円/回
記載している治療費用は、治療当時の価格(税抜価格表示)となります。
現在の費用は治療費のご案内でご確認くださいませ。
歯列矯正を始めるに当たって、以下のリスクと副作用があることを説明し、患者さんには十分ご理解頂いた上で治療を行いました。