〒599-8122 大阪府堺市東区丈六174-6
ID:235
上顎前突(出っ歯)
叢生(乱ぐい歯)
欠損歯

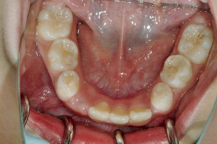
上顎の前突感と歯列に空隙の少ないことを気にされて来院した小学校3年生の女子です。下顎前歯に一本先天性の欠損がありましたが、それでも下顎左側犬歯、上顎両側犬歯に萌出空隙がほとんどない状態で、重度の叢生が予想されました。前期治療上顎大臼歯の遠心移動のためヘッドギアーを用い、また上下顎の拡大も同時に行いました。その後永久歯への交換を待って、デーモンシステムをもちいたエッジワイズ治療に移行しております。ただし上顎については、非抜歯では歯の配列までは可能でしたが前突感が残ると判断し上顎両側小臼歯抜歯をお願いしております。エッジワイズ装置撤去後はボンデッドワイヤーとリテーナーでの保定へ移行いたしました。前期治療に約3年、エッジワイズ治療に約2年のケースとなりました。
歯列矯正を始めるに当たって、後戻り・失活・虫歯(歯周病)・歯根吸収・ブラックトライアングル・歯肉退縮・顎関節症などのリスクがあることを説明し、患者さんには十分ご理解頂いた上で治療を行いました(以下もご覧ください)。また、別ページにある【矯正歯科治療に伴う一般的なリスクや副作用について】もご覧ください。
5年3ヵ月
51回
基本料金:560,000円 調節料:5,000円/回
記載している治療費用は、治療当時の価格(税抜価格表示)となります。
現在の費用は治療費のご案内でご確認くださいませ。
歯列矯正を始めるに当たって、以下のリスクと副作用があることを説明し、患者さんには十分ご理解頂いた上で治療を行いました。