〒599-8122 大阪府堺市東区丈六174-6
ID:207
臼歯部不正(交叉咬合など)
叢生(乱ぐい歯)
空隙歯列(隙っ歯)

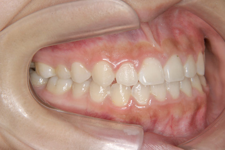
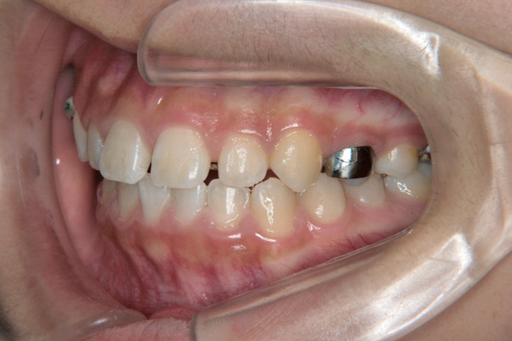
下顎の偏位と上顎右側小臼歯の萌出空隙が無いことを主訴に来院された小学校5年生の患者さんです。上顎第二大臼歯萌出前でしたので、リンガルアーチとセクショナルアーチを用いて第一大臼歯の遠心移動から開始しました。その後、非抜歯でデーモンブラケットを用いたエッジワイズ装置に移行しております。ほぼ一歯分の空隙不足でしたが、第二大臼歯萌出前に治療を開始できたことが非抜歯での矯正治療を行う上で、良かったと考えております。
歯列矯正を始めるに当たって、後戻り・失活・虫歯(歯周病)・歯根吸収・ブラックトライアングル・歯肉退縮・顎関節症などのリスクがあることを説明し、患者さんには十分ご理解頂いた上で治療を行いました(以下もご覧ください)。また、別ページにある【矯正歯科治療に伴う一般的なリスクや副作用について】もご覧ください。
3年6ヵ月
34回
基本料金:660,000円 調節料:5,000円/回
記載している治療費用は、治療当時の価格(税抜価格表示)となります。
現在の費用は治療費のご案内でご確認くださいませ。
歯列矯正を始めるに当たって、以下のリスクと副作用があることを説明し、患者さんには十分ご理解頂いた上で治療を行いました。