〒599-8122 大阪府堺市東区丈六174-6
ID:182
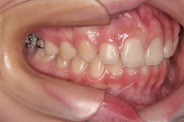
上顎前突(出っ歯)
過蓋咬合(深いかみ合わせ)

出っ歯を主訴に来院された小学校6年生の女の子です。上顎第二大臼歯が未萌出でしたのでヘッドギアーと咬合挙上床で上顎への治療を行った後、非抜歯でデーモンシステムを用いて配列を行いました。前期治療約1年、後期治療約2年で治療いたしております。
歯列矯正を始めるに当たって、後戻り・失活・虫歯(歯周病)・歯根吸収・ブラックトライアングル・歯肉退縮・顎関節症などのリスクがあることを説明し、患者さんには十分ご理解頂いた上で治療を行いました(以下もご覧ください)。また、別ページにある【矯正歯科治療に伴う一般的なリスクや副作用について】もご覧ください。
3年2ヵ月
32回
基本料金:660,000円 調節料:5,000円/回
記載している治療費用は、治療当時の価格(税抜価格表示)となります。
現在の費用は治療費のご案内でご確認くださいませ。
歯列矯正を始めるに当たって、以下のリスクと副作用があることを説明し、患者さんには十分ご理解頂いた上で治療を行いました。