〒599-8122 大阪府堺市東区丈六174-6
ID:175
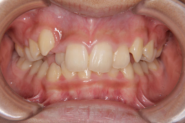
叢生(乱ぐい歯)
前歯部不正(交叉咬合など)

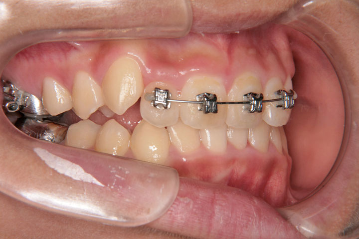
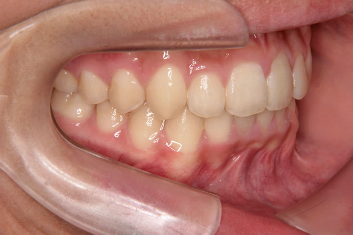
歯のデコボコを主訴に来院された中学1年生の患者さんです。叢生の程度は中程度で上顎第二大臼歯の萌出前であったので、ヘッドギアーとセクショナルアーチを用い、大臼歯の後方への拡大を行いました。その後、その空隙を利用して、非抜歯でエッジワイズ装置を用いて配列を行いました。拡大処置約1年、後期約2年で治療いたしております。
歯列矯正を始めるに当たって、後戻り・失活・虫歯(歯周病)・歯根吸収・ブラックトライアングル・歯肉退縮・顎関節症などのリスクがあることを説明し、患者さんには十分ご理解頂いた上で治療を行いました(以下もご覧ください)。また、別ページにある【矯正歯科治療に伴う一般的なリスクや副作用について】もご覧ください。
2年11ヵ月
35回
基本料金:660,000円 調節料:5,000円/回
記載している治療費用は、治療当時の価格(税抜価格表示)となります。
現在の費用は治療費のご案内でご確認くださいませ。
歯列矯正を始めるに当たって、以下のリスクと副作用があることを説明し、患者さんには十分ご理解頂いた上で治療を行いました。