〒599-8122 大阪府堺市東区丈六174-6
ID:174
下顎前突(受け口)
欠損歯

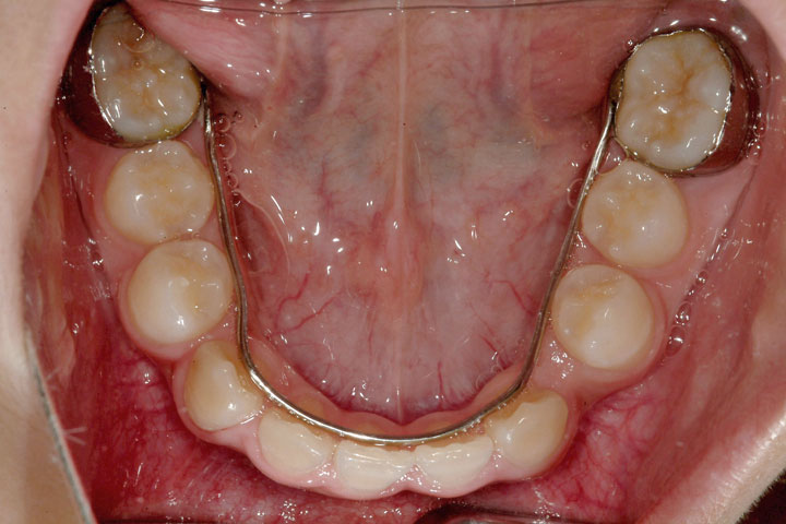
受け口を主訴に来院された幼稚園年長の女の子です。上顎前歯が未萌出であったため、その萌出を待って小学校2年生の時に矯正治療を開始いたしました。前歯部被蓋改善をリンガルアーチとチンキャップで行った後、定期観察を経てデーモンシステムで最終的に配列を行いました。下顎前歯が3本しかなく、一本の先欠(先天性欠損)を認めましたが、その空隙も閉鎖することができました。前歯被蓋の安定までに2年、その後中学1年生までの定期観察を経て、エッジワイズ治療期間で2年を要しました。
歯列矯正を始めるに当たって、後戻り・失活・虫歯(歯周病)・歯根吸収・ブラックトライアングル・歯肉退縮・顎関節症などのリスクがあることを説明し、患者さんには十分ご理解頂いた上で治療を行いました(以下もご覧ください)。また、別ページにある【矯正歯科治療に伴う一般的なリスクや副作用について】もご覧ください。
7年7ヵ月
62回
基本料金:560,000円 調節料:5,000円/回
記載している治療費用は、治療当時の価格(税抜価格表示)となります。
現在の費用は治療費のご案内でご確認くださいませ。
歯列矯正を始めるに当たって、以下のリスクと副作用があることを説明し、患者さんには十分ご理解頂いた上で治療を行いました。