〒599-8122 大阪府堺市東区丈六174-6
ID:165
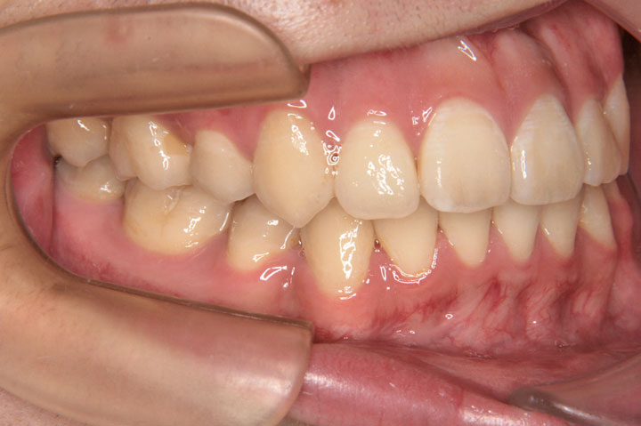
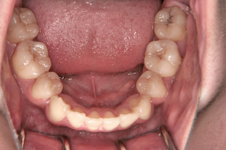
下顎前突(受け口)
叢生(乱ぐい歯)

受け口主訴に来院された小学校2年生の患者さんです。受け口は骨格性の要因もあるものでしたが、リンガルアーチとチンキャップを併用し、前歯部のかみ合わせを改善しました。成長期の間は、受け口の再発が懸念されるため観察を続けた後、上下小臼歯抜歯ケースとしてクリアスナップを用いて配列を行いました。受け口の治療に約2年、その後、定期観察を経て、エッジワイズ治療 に約2年半を要しております
歯列矯正を始めるに当たって、後戻り・失活・虫歯(歯周病)・歯根吸収・ブラックトライアングル・歯肉退縮・顎関節症などのリスクがあることを説明し、患者さんには十分ご理解頂いた上で治療を行いました(以下もご覧ください)。また、別ページにある【矯正歯科治療に伴う一般的なリスクや副作用について】もご覧ください。
9年0ヵ月
65回
基本料金:560,000円 調節料:5,000円/回
記載している治療費用は、治療当時の価格(税抜価格表示)となります。
現在の費用は治療費のご案内でご確認くださいませ。
歯列矯正を始めるに当たって、以下のリスクと副作用があることを説明し、患者さんには十分ご理解頂いた上で治療を行いました。