〒599-8122 大阪府堺市東区丈六174-6
ID:159
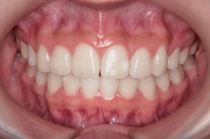
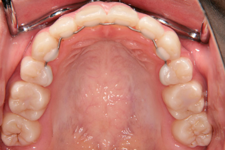
上顎前突(出っ歯)
前歯部不正(交叉咬合など)

上顎前突と叢生を気にされて来院された小学校4年生の女子の患者さんです。第一段階として、ヘッドギアーによる上顎大臼歯の遠心移動ををはかり、奥歯の関係を整えた後、上下顎小臼歯を抜歯いただきデーモンシステムで後期治療を行いました。前期治療に約1年、定期観察を経て、エッジワイズ治療に2年を要しており、その後保定に移行しております。
歯列矯正を始めるに当たって、後戻り・失活・虫歯(歯周病)・歯根吸収・ブラックトライアングル・歯肉退縮・顎関節症などのリスクがあることを説明し、患者さんには十分ご理解頂いた上で治療を行いました(以下もご覧ください)。また、別ページにある【矯正歯科治療に伴う一般的なリスクや副作用について】もご覧ください。
5年8ヵ月
41回
基本料金:660,000円 調節料:5,000円/回
記載している治療費用は、治療当時の価格(税抜価格表示)となります。
現在の費用は治療費のご案内でご確認くださいませ。
歯列矯正を始めるに当たって、以下のリスクと副作用があることを説明し、患者さんには十分ご理解頂いた上で治療を行いました。