〒599-8122 大阪府堺市東区丈六174-6
ID:155
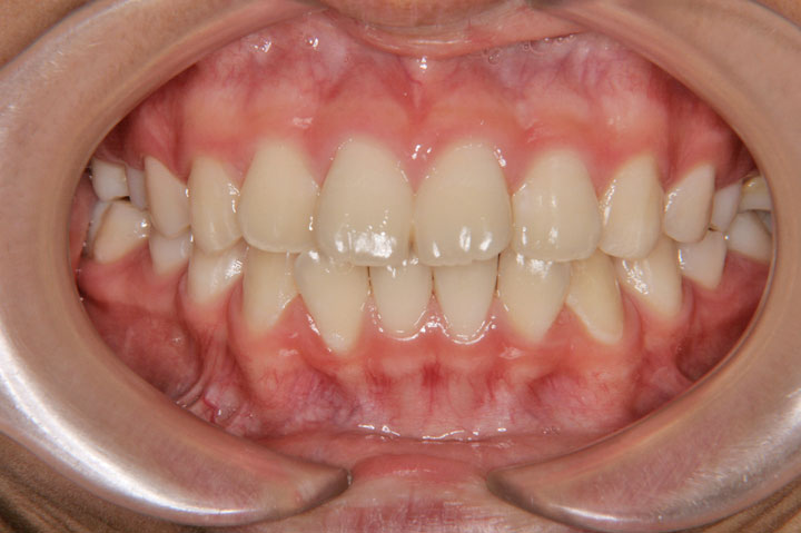
叢生(乱ぐい歯)
前歯部不正(交叉咬合など)

前歯のデコボコを主訴として来院された小学校3年生の男子です。上下顎前歯にデコボコがあり、全体的に萌出スペースが不足した状態でした。そのため、下顎はリップバンパー、上顎は拡大床を用いた拡大治療を行い、その後デーモンシステムにてエッジワイズ治療に移行しました。
歯列矯正を始めるに当たって、後戻り・失活・虫歯(歯周病)・歯根吸収・ブラックトライアングル・歯肉退縮・顎関節症などのリスクがあることを説明し、患者さんには十分ご理解頂いた上で治療を行いました(以下もご覧ください)。また、別ページにある【矯正歯科治療に伴う一般的なリスクや副作用について】もご覧ください。
8年7ヵ月
56回
基本料金:560,000円 調節料:5,000円/回
記載している治療費用は、治療当時の価格(税抜価格表示)となります。
現在の費用は治療費のご案内でご確認くださいませ。
歯列矯正を始めるに当たって、以下のリスクと副作用があることを説明し、患者さんには十分ご理解頂いた上で治療を行いました。