〒599-8122 大阪府堺市東区丈六174-6
ID:152
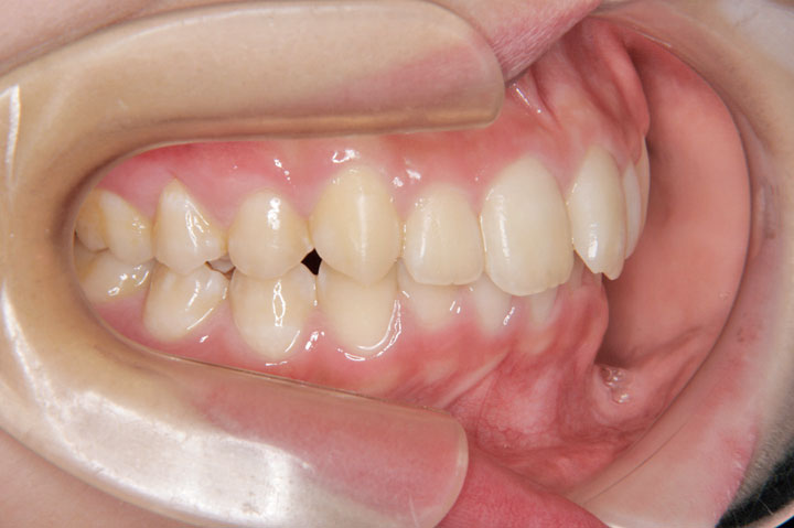
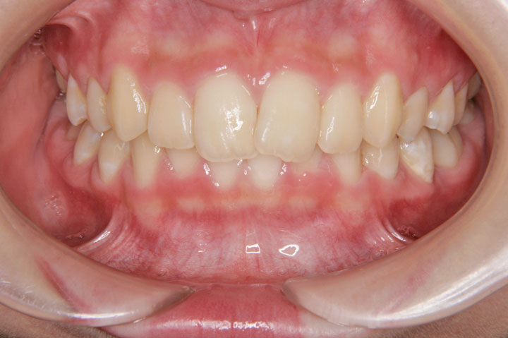
叢生(乱ぐい歯)
上顎前突(出っ歯)

上顎の前突感と前歯のデコボコを主訴に来院された中学1年生の患者さんです。上顎前突と叢生の程度は比較的軽度でしたので、非抜歯でエッジワイズ治療を行っております。顎間ゴムへの協力もよく、プロファイル(側貌)の改善も得られ良好な治療結果となりました
歯列矯正を始めるに当たって、後戻り・失活・虫歯(歯周病)・歯根吸収・ブラックトライアングル・歯肉退縮・顎関節症などのリスクがあることを説明し、患者さんには十分ご理解頂いた上で治療を行いました(以下もご覧ください)。また、別ページにある【矯正歯科治療に伴う一般的なリスクや副作用について】もご覧ください。
3年2ヵ月
33回
基本料金:660,000円 調節料:5,000円/回
記載している治療費用は、治療当時の価格(税抜価格表示)となります。
現在の費用は治療費のご案内でご確認くださいませ。
歯列矯正を始めるに当たって、以下のリスクと副作用があることを説明し、患者さんには十分ご理解頂いた上で治療を行いました。