〒599-8122 大阪府堺市東区丈六174-6
ID:118
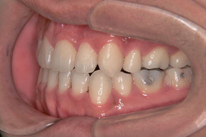
臼歯部不正(交叉咬合など)
叢生(乱ぐい歯)
下顎前突(受け口)

歯並びのガタガタと顎のズレを気にして来院された成人の患者さんです。本来であれば、外科矯正の適応とご説明いたしましたが、ご本人様もそこまでは希望されないとのことで、通常のエッジワイ治療として、デーモンシステムによる治療を行っております。治療期間は2年5ヶ月でしたが、非外科系の矯正治療としては、非常に良好な結果と考えております。
歯列矯正を始めるに当たって、後戻り・失活・虫歯(歯周病)・歯根吸収・ブラックトライアングル・歯肉退縮・顎関節症などのリスクがあることを説明し、患者さんには十分ご理解頂いた上で治療を行いました(以下もご覧ください)。また、別ページにある【矯正歯科治療に伴う一般的なリスクや副作用について】もご覧ください。
2年5ヵ月
28回
基本料金:660,000円 調節料:5,000円/回
記載している治療費用は、治療当時の価格(税抜価格表示)となります。
現在の費用は治療費のご案内でご確認くださいませ。
歯列矯正を始めるに当たって、以下のリスクと副作用があることを説明し、患者さんには十分ご理解頂いた上で治療を行いました。