〒599-8122 大阪府堺市東区丈六174-6
ID:117
過蓋咬合(深いかみ合わせ)
叢生(乱ぐい歯)
上顎前突(出っ歯)
臼歯部不正(交叉咬合など)

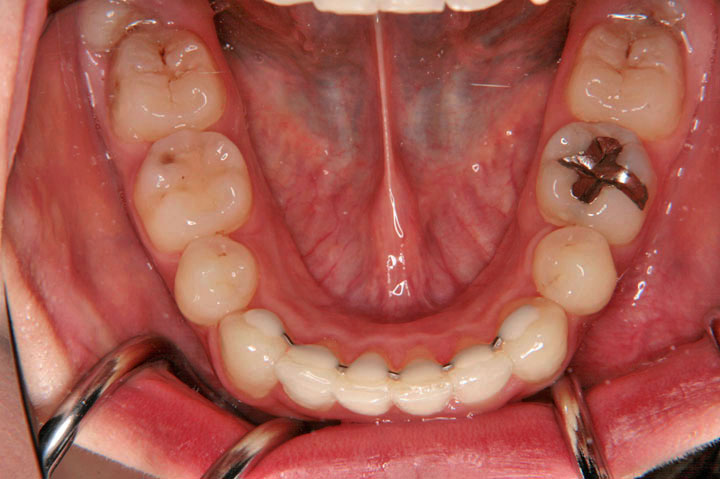
上下の歯のデコボコを気にして来院された成人の患者さんです、不正咬合としては、過蓋咬合、叢生が複合した状態でした。上下顎小臼歯の抜歯にご協力いただき、リンガルエッジワイズ症例として治療いたしております。リンガル矯正のため、治療期間は2年5ヶ月となり、その後、ボンデッドワイヤーとリテーナーを併用して保定に移行しております。
歯列矯正を始めるに当たって、後戻り・失活・虫歯(歯周病)・歯根吸収・ブラックトライアングル・歯肉退縮・顎関節症などのリスクがあることを説明し、患者さんには十分ご理解頂いた上で治療を行いました(以下もご覧ください)。また、別ページにある【矯正歯科治療に伴う一般的なリスクや副作用について】もご覧ください。
2年5ヵ月
32回
基本料金:660,000円 調節料:5,000円/回
記載している治療費用は、治療当時の価格(税抜価格表示)となります。
現在の費用は治療費のご案内でご確認くださいませ。
歯列矯正を始めるに当たって、以下のリスクと副作用があることを説明し、患者さんには十分ご理解頂いた上で治療を行いました。