〒599-8122 大阪府堺市東区丈六174-6
ID:114
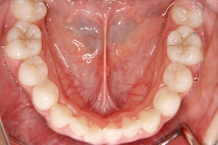
叢生(乱ぐい歯)
上顎前突(出っ歯)

上下の歯のデコボコを気にされて来院された小学生の女子です。まず前期治療としてヘッドギアーによる上顎大臼歯の遠心移動とクォードヘリックス、バイヘリックスによる上下顎の拡大を行いました。その後、永久歯への交換を待ってエッジワイズ装置(デーモンシステム)による配列を行っております。
歯列矯正を始めるに当たって、後戻り・失活・虫歯(歯周病)・歯根吸収・ブラックトライアングル・歯肉退縮・顎関節症などのリスクがあることを説明し、患者さんには十分ご理解頂いた上で治療を行いました(以下もご覧ください)。また、別ページにある【矯正歯科治療に伴う一般的なリスクや副作用について】もご覧ください。
6年8ヵ月
57回
基本料金:560,000円 調節料:5,000円/回
記載している治療費用は、治療当時の価格(税抜価格表示)となります。
現在の費用は治療費のご案内でご確認くださいませ。
歯列矯正を始めるに当たって、以下のリスクと副作用があることを説明し、患者さんには十分ご理解頂いた上で治療を行いました。