〒599-8122 大阪府堺市東区丈六174-6
ID:107
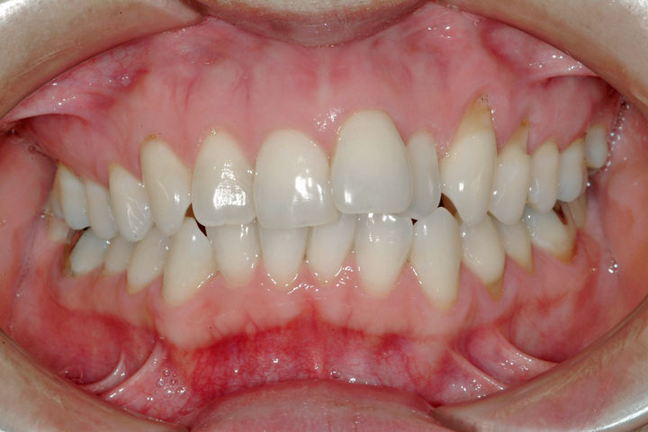
上顎前突(出っ歯)
叢生(乱ぐい歯)

上顎の前突感と歯の叢生を気にされて来院された成人の患者さんです。歯の欠損と歯周病の進行なども懸念されましたので、非抜歯で矯正治療を行っております。ただし、上顎の前突ケースを非抜歯で治療を行うために、エッジワイズ装置に先立ち、上顎大臼歯の遠心移動(後方への拡大)を行った後、デーモンシステムに移行いたしました。そのため、かなり長期な矯正治療となってしまいましたが、非抜歯での配列を行えたことは、良かったと思っております。
歯列矯正を始めるに当たって、後戻り・失活・虫歯(歯周病)・歯根吸収・ブラックトライアングル・歯肉退縮・顎関節症などのリスクがあることを説明し、患者さんには十分ご理解頂いた上で治療を行いました(以下もご覧ください)。また、別ページにある【矯正歯科治療に伴う一般的なリスクや副作用について】もご覧ください。
4年2ヵ月
51回
基本料金:660,000円 調節料:5,000円/回
記載している治療費用は、治療当時の価格(税抜価格表示)となります。
現在の費用は治療費のご案内でご確認くださいませ。
歯列矯正を始めるに当たって、以下のリスクと副作用があることを説明し、患者さんには十分ご理解頂いた上で治療を行いました。